Установка зубного имплантата болезненна, тело может отклонить титановый имплантат, зубной протез всегда более хрупок, чем оригинальный зуб …
Мы подытоживаем полученные идеи относительно этого медицинского устройства.
ЛОЖНЫЙ.
Установка зубного имплантата, когда он выполняется правильно, вызывает меньше боли и отека, чем, например, простое удаление зубов. Вмешательство почти всегда покрывается обезболивающими антибиотиками и противовоспалительными препаратами.
Последствия незначительны в подавляющем большинстве случаев. Они могут стать немного тяжелее в случае реконструкции кости или десны.
Существует множество заблуждений о зубных имплантатах, и врачи часто сталкиваются с ними в своей практике. Многие пациенты считают, что импланты — это исключительно дорогое удовольствие, однако современные технологии позволяют значительно снизить стоимость процедуры. Другие уверены, что установка имплантов болезненна, хотя большинство пациентов отмечают, что процедура проходит под местной анестезией и не вызывает сильного дискомфорта.
Некоторые люди полагают, что импланты требуют особого ухода, но на самом деле они требуют такого же внимания, как и натуральные зубы. Также распространено мнение, что импланты могут вызывать отторжение организмом, но статистика показывает, что это происходит крайне редко. Врачи подчеркивают, что правильный выбор клиники и специалиста играет ключевую роль в успешности процедуры. Важно развеивать мифы и предоставлять пациентам достоверную информацию, чтобы они могли принимать обоснованные решения о своем здоровье.

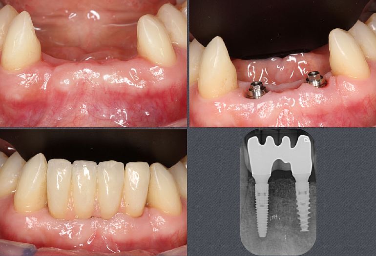
Несколько сеансов необходимо для установки зубного имплантата
ПРАВДА.
Необходимо четко различать два аспекта лечения имплантата: размещение самого зубного имплантата, с одной стороны, и соединение с этим имплантатом протеза с «опорой на имплантате», с другой. Сам имплантат представляет собой титановый винт, выступающий в роли искусственного корня. Только этот винт бесполезен для пациента и становится полезным только тогда, когда к нему подключен протез (коронка или мост, в зависимости от обстоятельств). Затем пара имплантат-протез выполняет свою жевательную и эстетическую роль.
Фактически, для полной замены зуба имплантатом требуется как минимум два сеанса: хирургический сеанс (установка винта) и сеанс протезирования.
Кроме того, кость и десна на месте приема имплантата не всегда достаточны по количеству и / или качеству, поэтому может потребоваться реконструкция кости и / или десны до размещения имплантата, который увеличивает количество необходимых сеансов.
Тело может отказаться от имплантата
ЛОЖЬ, но …
Когда имплантат не держится в челюсти, это никогда не является феноменом отторжения в медицинском смысле этого слова, на самом деле. Это не имеет ничего общего с иммунологическими реакциями отторжения, наблюдаемыми в случае трансплантации органов (кожи, почек и т. д.). Понятно, что не тело пациента отторгает инородное тело.
Поэтому в имплантологии мы будем говорить об отказе имплантата и отсутствии отторжения. Явление остеоинтеграции, биологическое явление, которое приводит к закреплению имплантата на челюсти, может давать сбой по разным причинам: главным образом, механическим или инфекционным, но это никогда не является отказом от принципа организма.
Зубные имплантаты часто окружены мифами и заблуждениями, которые могут вводить в заблуждение пациентов. Многие считают, что процедура установки имплантатов болезненна и требует длительного восстановления. На самом деле, современные методы анестезии и минимально инвазивные технологии делают процесс комфортным, а реабилитация проходит быстро. Другие полагают, что имплантаты могут вызывать аллергические реакции. Однако титановый материал, из которого они изготовлены, обычно хорошо переносится организмом. Существует также мнение, что имплантаты подходят не всем. На самом деле, большинство людей могут стать кандидатами, если у них достаточно костной ткани. Наконец, некоторые думают, что имплантаты требуют особого ухода. На самом деле, за ними нужно ухаживать так же, как и за натуральными зубами. Развеяв эти мифы, можно помочь людям сделать осознанный выбор в пользу здоровья своей улыбки.

Вы не можете установить несколько имплантатов одновременно
ЛОЖНЫЙ.
Наоборот, это предпочтительнее, это позволяет избежать нескольких хирургических операций, что подразумевает меньше времени, затрачиваемого на уход, меньше беспокойства , меньше трудностей, меньше лекарств …
Когда позволяет клиническая ситуация, желательно проводить как можно больше хирургического вмешательства за один сеанс (реконструкция костей или десен, установка нескольких имплантатов и т. д.).
Для длительных сеансов лечения сознательная седация позволяет вам находиться в состоянии расслабления или даже вблизи сна, что способствует долгому уходу, проходящему в идеале без стресса или нетерпения. Анестезия снимает боль, но никак не влияет на ум, поэтому были разработаны протоколы седации.
Зубной имплантат очень дорогой
Правда и ложь.
Это зависит. Затраты, связанные с размещением зубного имплантата, связаны со сложностью клинической ситуации, требованиями к комфорту или эстетике пациентов, предоставленной технической платформой, маркой используемого зубного имплантата, опыт докладчиков …
Имплантаты не покрываются социальным обеспечением. Они не обязательно дорогие сами по себе по сравнению с другими видами лечения, но, безусловно, более эффективны в бюджете из-за отсутствия ухода.

Зубной имплантат виден, он отличается от оригинальных зубов
Правда и ложь.
С точки зрения комфорта, во-первых, нет заметной разницы между естественным зубом и имплантатом, так что очень быстро пользователь забывает, какой зуб его, а какой восстановлен имплантатом.
С эстетической точки зрения это теперь зависит от нескольких факторов: сложности исходной клинической ситуации, а также опыта работников. Когда все идеальные условия соблюдены, не может быть эстетической разницы между зубным имплантатом и натуральным зубом.
Вы не можете иметь полости на зубном имплантате
ВЕРНО, но …
Имплантат изготовлен из титана, а протез полностью керамический или металлокерамический. Ни один из этих материалов не восприимчив к бактериям, вызывающим кариес. Поэтому имплантат никогда не будет атакован разрушением зубов.
С другой стороны, ткани периимплантата, то есть десна и кость, которые закрепляют имплантат в челюсти, сами по себе очень чувствительны к бактериям: если в них накапливается слишком много бактерий рядом с имплантатом может появиться серьезное заболевание для имплантата, которое приведет к его удалению. Это заболевание называется периимплантит. Очень редко болезненный, за исключением поздней стадии, это заболевание редко заметно самим пациентом и должно регулярно проверяться.
Вы не можете отбелить зубной имплантат
ВЕРНО, но …
Протез, который носит зубной имплантат, не чувствителен к продуктам, используемым для отбеливания зубов, его цвет неизменен. С другой стороны, послеестественные зубы, отбеливание, протезирование осуществляетсяпомощью имплантата может быть изменен и заменен на новый протез с облегченной оттенком, сохраняя притот же имплантат.
Мы можем позвонить в ворота безопасности из-за титана
ЛОЖНЫЙ.
Ворота безопасности аэропорта настроены на проверку определенных материалов с определенными пороговыми значениями. По соображениям безопасности отрасль довольно осторожна в деталях. В любом случае, имплантируемые устройства опускаются ниже порога обнаружения и не доставят вам хлопот.
Зубной имплантат на всю жизнь
ВЕРНО, но …
В теории да, на практике это зависит. Как и в случае любого медицинского устройства, возможны осложнения, в основном механические или инфекционные. Вот почему должны быть приняты меры предосторожности:
- Их размещение должно соответствовать очень строгому протоколу.
- Пациенты с имплантатами должны проходить ежегодное или двухгодичное наблюдение в зависимости от случая, чтобы досрочно перехватить любое осложнение.
И пациент, и практикующий врач несут ответственность за хорошее долговременное поведение имплантата.
Зубной имплантат: какое обслуживание
Правильное обслуживание вашего зубного имплантата крайне важно: чем больше вы заботитесь об имплантате, тем дольше его срок службы! Кроме того, пациенты, которые получают пользу от зубного имплантата, как правило, являются пациентами с «риском» для кариозных заболеваний, заболеваний десен или пародонта. Поэтому нет сомнений в том, чтобы ослабить свою бдительность!
Чистка зубов (! и импланта) имеет важное значение: оно должно иметь место (по крайней мере) два раза в день в течение 3 -х минут, десну к зубу. Обратите внимание: вы должны подождать 3 месяца, прежде чем возобновить использование электрической зубной щетки после установки зубного имплантата.
Чтобы завершить чистку, необходимо использовать один раз в день межзубную щетку (или зубную нить), чтобы достичь областей между зубами (или между имплантатами) и удалить отложения, которые находятся в начале образования зубного налета. стоматологический. Полезно знать: есть (в аптеках) зубные нити, предназначенные для обслуживания имплантатов, особенно в случае бриджа.
Очевидно, что необходимо регулярно записываться на прием к стоматологу для послеоперационного наблюдения и мониторинга имплантата.
Имплантация зубов — это одобренная методика, которая позволяет вам достичь идеального эстетического результата при использовании протезов с очень долгим сроком службы.
Однако, чтобы воспользоваться всеми этими преимуществами, вам все равно нужно принять некоторые меры предосторожности. Поэтому важно регулярно проверять состояние своего зубного ряда, проверять эволюцию имплантатов и выполнять там любые работы по техническому обслуживанию.
Вопрос-ответ
Что происходит с имплантами через 10 лет?
Что происходит с имплантом через 10 лет Качественно установленные импланты обычно сохраняют свою стабильность через 10 лет. Однако коронки, установленные на имплантах, могут износиться и потребовать замены. Регулярные осмотры у стоматолога помогут своевременно выявить необходимость замены коронки.
Почему не рекомендуют ставить импланты?
Коагулопатия Индивидуальная непереносимость местной анестезии Аутоиммунные патологии Сердечно-сосудистые болезни Остеопороз Сахарный диабет (декомпенсированный) Наличие мягких / твердых зубных отложений Любые стоматологические заболеванияЕщё
В чем минус имплантов?
Недостатки имплантации: Протезирование зубов на имплантах дороже, чем установка съемного протеза. Чтобы вкрутить титановый штифт в кость челюсти, необходимо провести хирургическую мини-операцию. Чтобы полноценно восстановить функциональность зубного ряда, нужно подождать несколько месяцев.
Как влияют зубные импланты на организм?
Основные последствия имплантации зубов В первые дни после установки импланта могут наблюдаться острая боль, отечность, небольшое кровотечение, потеря чувствительности, повышенная температура тела – все это норма и является реакцией организма на вживление в кость инородного тела – имплантанта.
Советы
СОВЕТ №1
Перед установкой зубных имплантатов обязательно проконсультируйтесь с опытным стоматологом. Он поможет развеять мифы и предоставит вам достоверную информацию о процедуре, сроках восстановления и возможных рисках.
СОВЕТ №2
Не забывайте о важности предварительного обследования. Заблуждение о том, что имплантаты можно ставить без анализа состояния зубочелюстной системы, может привести к осложнениям. Убедитесь, что у вас нет противопоказаний для установки имплантов.
СОВЕТ №3
Изучите отзывы и примеры успешных случаев установки имплантатов. Это поможет вам понять, чего ожидать от процедуры и как она может изменить вашу жизнь. Не стесняйтесь задавать вопросы пациентам, которые уже прошли через этот процесс.
СОВЕТ №4
Помните о важности ухода за имплантатами после их установки. Заблуждение о том, что за имплантами не нужно ухаживать, может привести к их неудаче. Регулярная гигиена полости рта и посещение стоматолога помогут сохранить импланты в хорошем состоянии на долгие годы.




