Возбудитель инфекционного мононуклеоза — вирус Эпштейна-Барр — лимфотропный вирус семейства герпесвирусов. Симптоматика инфекционного мононуклеоза чрезвычайно разнообразна, нередко он протекает под маской других болезней. Характерные лабораторные признаки — гетерофильные антитела и атипичные мононуклеары в крови.
Гетерофильные антитела выявляют с помощью реакции Пауля-Буннелля (агглютинация эритроцитов барана сывороткой больного). Специфичность этой реакции невелика. Считается, что гетерофильные антитела, не адсорбируемые экстрактом почек морской свинки, более специфичны для инфекционного мононуклеоза. Гетерофильные антитела появляются уже в остром периоде, однако в 10% случаев они отсутствуют на всем протяжении болезни. Атипичные мононуклеары почти патогномоничны для инфекционного мононуклеоза, но иногда их обнаруживают при цитомегаловирусной инфекции и токсоплазмозе.
Пути заражения инфекционным мононуклеозом
Инфекционный мононуклеоз распространен повсеместно и чаще поражает людей в возрасте от 15 до 20 лет. Заражение происходит через слюну больных или вирусоносителей; заразность невелика. Болезнь часто протекает бессимптомно, особенно у детей младшего возраста. Инкубационный период составляет 33—49 дней.
Врачи отмечают, что инфекционный мононуклеоз, часто вызываемый вирусом Эпштейна-Барр, проявляется рядом характерных симптомов. Основными признаками заболевания являются высокая температура, усталость, боль в горле и увеличение лимфатических узлов, особенно на шее. Специалисты подчеркивают, что у пациентов может наблюдаться также увеличение селезенки и печени, что требует внимательного наблюдения. Важно отметить, что симптомы могут варьироваться по степени выраженности, и у некоторых людей заболевание проходит в легкой форме. Врачи рекомендуют при появлении первых признаков обращаться за медицинской помощью для своевременной диагностики и исключения других заболеваний. Правильное лечение и соблюдение режима помогут избежать осложнений и ускорить восстановление.

Этиология и патологическая анатомия инфекционного мононуклеоза
Вызывающий инфекционный мононуклеоз вирус Эпштейна—Барр — это типичный герпесвирус с внешней оболочкой и капсидом диаметром 100 нм. Его можно обнаружить в мазках из ротоглотки больных. Помимо инфекционного мононуклеоза вирус Эпштейна—Барр вызывает также лимфому Беркитта (из клеток этой опухоли он был впервые выделен). Существуют гипотезы об этиологической роли этого вируса в развитии других лимфом, а также лимфогранулематоза, лейкозов и рака носоглотки.
Мазок крови при инфекционном мононуклеозе
На первой неделе болезни общее количество лейкоцитов крови обычно в норме или слегка повышено, возможна умеренная нейтропения. К началу второй недели в кровь выходит множество В-лимфоцитов, часть которых содержат вирус Эпштейна—Барр: развивается абсолютный лимфоцитоз, который достигает максимума на третьей неделе. В этот же период в крови появляются атипичные мононуклеары, чрезвычайно характерные для инфекционного мононуклеоза. Эти клетки разнообразны по форме и размерам. Их ядра могут быть дольчатыми, округлыми или в форме кофейного зерна; цитоплазма вакуолизирована и несколько базофильна.
Ядра лишены грубой глыбчатости, свойственной зрелым лимфоцитам. Однако глыбчатость ядра все же несколько более грубая, а цитоплазма более широкая, чем у лимфобластов. Лимфоцитоз, атипичные мононуклеары и гетерофильные антитела — все это проявления активации В-лимфоцитов под действием вируса.
Инфекционный мононуклеоз, часто называемый «болезнью поцелуев», вызывает множество обсуждений среди людей, столкнувшихся с этой инфекцией. Основные симптомы, о которых говорят пациенты, включают сильную усталость, боль в горле и увеличение лимфатических узлов. Многие отмечают, что высокая температура и головные боли могут длиться несколько недель, что значительно ухудшает качество жизни.
Некоторые люди подчеркивают, что мононуклеоз может проявляться и другими признаками, такими как сыпь и увеличение печени или селезенки. Важно отметить, что симптомы могут варьироваться от легких до тяжелых, и у каждого пациента они проявляются по-разному.
Люди также делятся своим опытом восстановления, отмечая, что полноценный отдых и сбалансированное питание играют ключевую роль в процессе выздоровления. Несмотря на то, что инфекция может быть неприятной, большинство пациентов в конечном итоге полностью восстанавливаются, что вселяет надежду тем, кто сталкивается с этой болезнью.

Клиническая картина инфекционного мононуклеоза
Лицо при инфекционном мононуклеозе
Легкий отек век, румянец на щеках — довольно характерные признаки инфекционного мононуклеоза. Рот открыт — из-за отека носоглотки больному трудно дышать носом. Выраженный отек глотки может привести к полной обструкции дыхательных путей.

Петехии на небе как симптом инфекционного мононуклеоза
Если инфекционный мононуклеоз протекает с ангиной, на небе почти всегда можно обнаружить петехиальную сыпь. Подобная сыпь встречается при многих инфекциях.
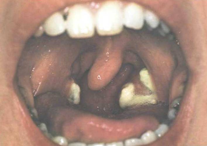
Ангина при инфекционном мононуклеозе
На начальной стадии ангины при инфекционном мононуклеозе определить этиологию ангины по внешнему виду зева невозможно. Через некоторое время на миндалинах появляется белый налет. Миндалины и язычок гиперемируются и отекают. С течением болезни островки сливаются, образуя толстые белые бляшки. Налеты могут сохраняться 1-2 недели и даже дольше, порой сплошь покрывая обе миндалины; общее состояние при этом не страдает. В наиболее тяжелых случаях отек и массивные налеты на миндалинах создают угрозу асфиксии. Внешний вид зева в этом случае резко изменен: толстый налет выходит за пределы миндалин и полностью скрывает язычок.
При такой картине инфекционный мононуклеоз можно спутать только с дифтерией. В пользу инфекционного мононуклеоза говорит спленомегалия, генерализованное увеличение лимфоузлов, обнаружение гетерофильных антител и атипичных мононуклеаров. В отсутствие условий для лабораторных исследований вводят противодифтерийный антитоксин.
Сыпь при инфекционном мононуклеозе
Сыпь на туловище
Иногда на второй неделе болезни на туловище появляется розовая пятнисто-папулезная сыпь, порой она напоминает сыпь при краснухе. Дифференциальной диагностике помогает продромальный период — очень короткий (обычно несколько часов) при краснухе и более длительный при инфекционном мононуклеозе.
Сыпь на руке
Больше всего сыпи на конечностях, отдельные элементы часто образуют скопления и сливаются.
Лекарственная сыпь
Сыпь при инфекционном мононуклеозе появляется по меньшей мере у 60% получавших ампициллин, нередко и после применения других пенициллинов. Эта реакция преходящая, так что через несколько месяцев ампициллин можно применять без всякого риска.
Элементы сыпи могут отличаться друг от друга: одни равномерно розовые, другие с более темным центром — этим сыпь при инфекционном мононуклеозе отличается от коревой. При дифференциальной диагностике следует ориентироваться на катаральное воспаление верхних дыхательных путей (всегда есть при кори) и ангину (часто бывает при инфекционном мононуклеозе).
Вопрос-ответ
Что такое мононуклеоз простыми словами?
Мононуклеоз – острое инфекционное заболевание, при котором поражается лимфатическая система. При мононуклеозе болит и воспаляется горло, больной постоянно утомлён, беспокоен, у него увеличена печень и лимфатические узлы.
Какой клинический симптом наиболее характерен для инфекционного мононуклеоза?
Основные проявления инфекционного мононуклеоза — воспаление горла и миндалин (тонзиллофарингит), заложенность носа, повышение температуры тела, а также увеличение лимфоузлов, печени и селезёнки.
Чем опасен инфекционный мононуклеоз?
Возможные осложнения представляют собой различные неврологические симптомокомплексы, поражения печени и селезенки, спровоцированные онкопроцессами, нарушения в функционировании кроветворной системы.
Где сыпь при мононуклеозе?
Сыпь преимущественно пятнисто-папулезная, с локализацией на лице, туловище, конечностях. Яркая, обильная, местами сливная (иногда похожа на крапивницу).
Советы
СОВЕТ №1
Обратите внимание на симптомы: инфекционный мононуклеоз часто проявляется такими признаками, как высокая температура, боль в горле, увеличение лимфатических узлов и усталость. Если вы заметили у себя эти симптомы, не откладывайте визит к врачу.
СОВЕТ №2
Следите за своим состоянием: при инфекционном мононуклеозе важно контролировать свое самочувствие. Если симптомы ухудшаются или появляются новые, такие как сыпь или затрудненное дыхание, немедленно обратитесь за медицинской помощью.
СОВЕТ №3
Обеспечьте себе отдых и правильное питание: во время болезни организму требуется больше сил для борьбы с инфекцией. Убедитесь, что вы достаточно отдыхаете и употребляете питательные продукты, богатые витаминами и минералами.
СОВЕТ №4
Избегайте физической активности: инфекционный мононуклеоз может вызывать увеличение селезенки, что делает ее более уязвимой к травмам. Ограничьте физические нагрузки и избегайте контактов с другими людьми, чтобы предотвратить распространение инфекции.


