Метаплазия слизистой желудка — это изменение эпителия, когда строение слизистой ткани желудка становится похожим на кишечную ткань. Будучи серьезным заболеванием, оно требует своевременного лечения, иначе человека ждет смерть.
Довольно часто врачи не могут определить причин возникновения многих болезней желудка. Это приводит к тому, что в некоторых случаях ставится неверный диагноз, а в некоторых и вовсе его определить не могут.
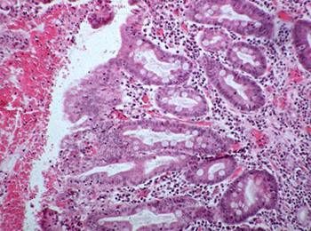
Слизистая желудка выполняет функцию защиты оболочки от механического повреждения и от влияния высококислотной среды самого желудка. При возникновении метаплазии на слизистой желудка, защита эпителия практически исчезает из-за изменившейся структуры слизистой.
Основной причиной этой болезни называют то, что поздно определяются раздражители, которые вызывают воспаление желудочных стенок. Поэтому поздно начинают лечение заболевания. Раздражителями для желудка является повышенная кислотность или хронический гастрит на поздней стадии.
ПРОПОЛИСНЫЙ ЭЛЕКСИР «ЗДОРОВ» излечит гастрит и язву!
Прополисный эликсир — это запатентованный препарат, изготовленный по 100% органической формуле, в составе которой: Прополис, Льняное масло, Витамин Е, Витамин А.
Узнать подробнее…
Врачи подчеркивают, что лечение метаплазии слизистой желудка требует комплексного подхода. Основное внимание уделяется выявлению и устранению причин, способствующих развитию этого состояния, таких как инфекция Helicobacter pylori, хронический гастрит и неправильное питание. Специалисты рекомендуют проводить регулярные эндоскопические обследования для мониторинга состояния слизистой и раннего выявления возможных осложнений. В зависимости от степени метаплазии, могут быть назначены как медикаментозные препараты, так и изменения в образе жизни, включая диету, отказ от алкоголя и курения. Врачи акцентируют внимание на важности индивидуального подхода к каждому пациенту, что позволяет повысить эффективность лечения и снизить риск развития рака желудка.

Причиной этого заболевания могут быть:
- Хронический гастрит.
- Инфицирование желудка хеликобактером.
- Язвенная болезнь.
- Заброс желчи в желудок.
- Гормональные нарушения организма.
При здоровом эпителии желудка небольшие повреждения слизистой зарастают, не нанося ущерба желудку. Гастрит не дает слизистой самостоятельно восстановиться, поэтому требуется его лечение. Без этого слизистая не обновляется на уровне клетки, поэтому железы желудка перестают работать полноценно.
Трудно выделить особенные признаки и симптомы метаплазии. Ими является тошнота, рвота, у больного отсутствует аппетит, возникают неприятные ощущения в животе. Почти при всех желудочных болезнях бывают такие же симптомы. Неприятные ощущения, т.е. их характер, врачами до сих пор не опознаны, поэтому не описаны, соответственно, и диагноз ставится с трудом. В любом случае все эти симптомы говорят, что нужно срочно обратиться к врачу. Метаплазия затушевывается признаками хронического гастрита, поэтому неопытные врачи по этим признакам лечат гастрит, а не метаплазию.
Исследователи заболевания выделяют разные виды метаплазии желудка. Это заболевание характеризуется двумя формами:
- полная (начальная стадия болезни, бывает при гастрите);
- неполная (бывает при раке).
- тонкокишечная;
- толстокишечная.
В здоровом состоянии в желудке должны постоянно обновляться клетки слизистой. Из-за негативных факторов, воздействующих на эпителий, клетки начинают обновляться с большой скоростью, что приводит к тому, что вместо желудочной ткани начинает образовываться кишечная ткань, и желудок перестает выполнять свои функции. Вместо переваривания пищи желудок начинает всасывать не переваренную массу.
Выделяют еще по другим признакам такие виды метаплазии:
- очаговая;
- диффузная;
- ресничная;
- панкреатическая.
Очаговая метаплазия желудка говорит о том, что не вся слизистая желудка подвергается изменениям, наблюдаются очаги поражения желудка, когда поражается до 5%, меньше 1/5 всей слизистой или больше 1/5 слизистой желудка.
Больные страдают от того, что в желудке понижается кислотность, поэтому гибнут бактерии желудка, но размножаются кишечные бактерии, повреждающие слизистую желудка. В зависимости от поражения слизистой заболевание требует различного режима лечения.
Метаплазия антрального отдела желудка возникает в результате нарушения мышечной силы антрального сфинктера желудка, когда желчь забрасывается в желудок и раздражает слизистую. Больной чувствует горечь во рту, боли в животе, у него бывает рвота.
Язвенная болезнь проявляется «голодными» болями, болями в животе. В желудке образуются рубцы, что без лечения приводит к тому, что развивается метаплазия эпителия желудка.
Лечение метаплазии слизистой желудка вызывает множество обсуждений среди пациентов и специалистов. Многие отмечают, что важным аспектом является ранняя диагностика, так как это позволяет предотвратить развитие более серьезных заболеваний, таких как рак. Пациенты делятся опытом о том, как изменения в образе жизни, включая диету и отказ от вредных привычек, положительно влияют на состояние здоровья. Некоторые врачи рекомендуют регулярные эндоскопические обследования для мониторинга состояния слизистой. В то же время, мнения о медикаментозной терапии разнятся: одни считают ее необходимой, другие акцентируют внимание на натуральных методах. Важно, чтобы каждый пациент находил подходящий для себя способ лечения, основываясь на рекомендациях квалифицированных специалистов.

Диагностика
Для определения заболевания желудка врачи назначают гистологическое обследование, при котором изучается кусочек эпителия, взятый из желудка во время ФГДС, эндоскопического осмотра, чтобы узнать, нет ли в желудке инфекции Helicobacter pylori.
Диагностика проводится и вторым методом, называемым хромоэндоскопия, при котором определяется объем поражения желудка. Результаты обследования этими двумя методами позволяют поставить точный диагноз.
Лечение
Данное заболевание тяжело поддается лечению, поэтому очень важно, как можно раньше начать лечение. Выделяют 2 способа лечения метаплазии: хирургическим путем и терапевтическим, т.е. медикаментозным.
Лечение кишечной метаплазии желудка проводят по устранению хеликобактера. Для этого пациенту прописывают антибиотики, которые убивают не только микроорганизмы, но и флору кишечника, поэтому возникает дисбактериоз. Чтобы он не вызвал ухудшение состояния больного, ему назначают вместе с антибиотиками лекарства, которые укрепляют иммунитет и восстанавливают микрофлору.
В состав лекарств при лечении метаплазии входят соли алюминия и магния, которые связывают соляную кислоту, имеющуюся в желудке. Поэтому лекарства назначают очень осторожно в малых дозах.
Если заболевание находится в фазе перерождения в рак, то требуется хирургическое вмешательство, тогда проведенная операция снижает риск образования раковых опухолей.
Лечение метаплазии желудка должно сопровождаться соблюдением определенной диеты, когда нельзя есть острое, соленое, кислое, что раздражает слизистую. Копченые продукты, молоко не должны включаться в рацион больного. При метаплазии слизистой желудка нельзя употреблять белый хлеб, как и всякую выпечку.
Нужно есть фрукты и вареные овощи, обезжиренное молоко, т.к. оно нейтрализует высокую кислотность желудка. Можно есть макароны, рис, нежирное мясо. Принимать пищу нужно часто и небольшими порциями.

Народные средства
Лечение народными средствами метаплазии самостоятельно категорически исключено, чтобы не усугубить течение болезни и не привести к летальному исходу. Пациент должен все время находиться под наблюдением врача.
Вопрос-ответ
Можно ли вылечить метаплазию желудка?
Метаплазия желудка считается обратимым заболеванием. В зависимости от ее стадии, врачи могут рекомендовать консервативное или хирургическое лечение. Операция показана при выраженной метаплазии желудка. За рубежом такая процедура проводится эндоскопически и без кровопотерь.
Что нельзя кушать при метаплазии желудка?
При очаговой кишечной метаплазии важно правильно питаться. Отказаться от употребления острых, жареных и соленых блюд, молока, кофе, газированных напитков, алкоголя. Рацион на время лечения следует обогатить достаточным количеством фруктов и овощей, кашами.
Как долго живут с метаплазией желудка?
Согласно статистике более 90% пациентов с этим диагнозом после прохождения лечения живут 5 лет и более.
Когда следует повторить ФГДС при кишечной метаплазии?
Пациентам с подтвержденной дисплазией высокой степени при отсутствии эндоскопически видимых поражений рекомендуется пройти повторное ЭГДС в течение 6–12 месяцев для контроля видимых поражений.
Советы
СОВЕТ №1
Регулярно проходите обследования у гастроэнтеролога. Метаплазия слизистой желудка может быть признаком более серьезных заболеваний, поэтому важно следить за состоянием желудка и проходить эндоскопию по рекомендации врача.
СОВЕТ №2
Соблюдайте сбалансированную диету. Употребляйте больше свежих овощей, фруктов и цельнозерновых продуктов, избегайте острого, жирного и жареного. Это поможет снизить нагрузку на желудок и улучшить его состояние.
СОВЕТ №3
Откажитесь от вредных привычек. Курение и чрезмерное употребление алкоголя могут усугубить состояние слизистой желудка. Постарайтесь минимизировать или полностью исключить эти факторы из своей жизни.
СОВЕТ №4
Управляйте стрессом. Хронический стресс может негативно влиять на здоровье желудка. Практикуйте методы релаксации, такие как медитация, йога или прогулки на свежем воздухе, чтобы поддерживать психоэмоциональное равновесие.





