Мозжечковая миндалина – это специфическая часть мозга, визуально напоминающая по форме обычную миндалину. Ее дислокация находится в глубине височной доли головного мозга, на латыни “доля” носит название Lobus temporalis. Каждое полушарие головного мозга обладает своей миндалиной. Значение этих миндалин сложно переоценить, ведь они участвуют в формировании эмоций, являются составным элементом лимбической структуры.
У людей и многих видов животных именно данная часть головного мозга ответственна за вырабатывание позитивных и негативных эмоций – удовольствие, страх, гнев и другие. Размер мозжечковой миндалины обладает прямой зависимостью относительно агрессивных действий. Данная часть мозга сексуально-диморфна. К примеру, если мужчин был подвержен кастрации, то мозжечковые миндалины уменьшаются в размере на 30%.
Медиками было доказано, что многие психические заболевания связаны именно с нарушением нормальной функции мозжечковых миндалин. В частности, такие заболевания:
- повышенная тревожность;
- аутизм;
- шизофрения;
- биполярное расстройство;
- различные фобии.
Анатомия миндалевидных тел
На самом деле миндалинами называют некоторое количество отдельно действующих ядер. Врачи их объединяют из-за того, что эти ядра находятся близко один к одному. Основными ядрами считаются:
- базально латеральные ядра;
- медиально центральный комплекс;
- медиально корковый комплекс.
Базально латеральные ядра необходимы для формирования рефлекса опасения. Сигналы на ядра поступают от сенсорных структур. А вот медиально центральный комплекс является выходом базально латеральных ядер и необходим для формирования эмоционального возбуждения.
Патологические состояния
Еще недавно, врачи были уверены, что при заболевании Урбаха-Вите, у пациента отсутствует такая эмоция как страх. Известно, что у больных данной болезнью, миндалины мозжечка разрушены. Но более современные исследования и опыты доказали, что таких пациентов все же можно напугать. Это возможно при помощи воздействия воздуха и большого количества углекислого газа, посредством ингаляции. Однако соотношение газа к воздуху должно быть не менее 35%.
Какие функции выполняют миндалины?
Данное миндалевидное тело отвечает за большое число различных обязанностей, к примеру:

- просыпание;
- страх и его эмоциональные проявления;
- различные виды эмоций;
- выделения гормонального характера;
- память.
Благодаря мозжечковым телам, человек способен быстро и надолго запоминать эмоциональные реакции на разного рода события. А так как миндалевидное тело является частью лимбической структуры, человек обладает возможностью бессознательного обучения. Данной особенностью отличаются некоторые типы животных.
Головной мозг имеет особое строение, по этой причине происшествия, значимые в плане выживания, фиксируются при помощи сильной эмоции. Ведь основная работа мозга – это забота о выживании. Соответственно, такая эмоция активизирует внутренней механизм, необходимый для того, чтоб человек не забыл данное событие. Данная информация занимает расположение в долговременной памяти.
Бессознательное обучение может управлять формированием условных рефлексов. Данное обучение выполняется автоматически и на бессознательном уровне. Так как человеческие рефлексы располагаются в мозговых частях, которые не зависят от мышления, их сложно рационализировать. При исполнении своих обязанностей, миндалевидное тело взаимодействует с гиппокампом и базальными ганглиями. Вследствие этого взаимодействия, поступающие данные усваиваются на более высоком уровне.
Дистопия (эктопия) миндалин мозжечка
Дистопия миндалин мозжечка – это специфическое опущение мозжечкового миндалевидного тела в крупное затылочное отверстие. Данную патологию могут именовать мальформацией Киари, происходит когда имеет место каудальная дислокация миндалевидного тела правой либо левой части головного мозга. Для болезни характерно пониженное стояние миндалевидного тела.
Подобное стояние миндалин никоим образом не отражается на жизнедеятельности больного и не вызывает беспокойств. У ребенка данную болезнь находят крайне редко, ей больше подвержены взрослые в промежутке от 30 до 40 лет. Диагностируется случайно, при плановых обследованиях либо лечении других проблем.
Причины по которым миндалевидные тела опущены
Подобное состояние возникает из-за врожденных отклонений, когда не совпадают объемы затылочного отверстия и мозга. Эктопия миндалин может иметь другое объяснение и быть вторичной. Такая ситуация вероятна при большом числе травм либо при неправильно взятых люмбальных пункциях.
Признаки патологии
Симптомы эктопии миндалин мозжечка сложно определить клиническим методом. Но порой вероятно проявления неврологического характера – болевые ощущения в области шеи во время нагрузок либо мышечного напряжения. Боль возникает в виде приступов. Параллельно возможны болевые ощущения в голове, иногда беспокоят головокружения. Чем больше опущение миндалин мозжечка, тем болезненнее и заметнее признаки. Если миндалевидные тела опустились и заняли слишком низкое положение, возможно появление сирингомиелии.
Лечение и способы устранения признаков
Если нет неврологических жалоб, то взрослого либо ребенка могут не лечить. Однако даже если ситуация умеренная, ибо признаки отсутствуют, больных желательно подержать под контролем врача. Важно делать мониторинг показателей, дабы их норма не менялась и болезнь не развивалась.

При незначительных симптомах опущение, или другими словами вклинение миндалин, допускается лечить с помощью консервативных методов. Болевые ощущения устраняются с помощью сосудистых средств, нестероидных препаратов от воспаления, посредством миорелаксантов. Немаловажно будет придерживаться предписанного образа жизни.
Оперативное вмешательство (удаление) – порой самый результативный способ терапии для пациентов, у которых миндалина мозжечковая опустилась ниже допустимого уровня. Тоже самое касается и ситуации, когда патология слишком обширная и миндалины воспалились.
Удалить миндалевидное тело можно посредством увеличения размеров черепной ямки и вклинения в мозговую оболочку.
Когда оперативное вмешательство необходимо:
- постоянная головная боль, которая не проходит после приема лекарств;
- увеличение числа очаговых проявлений, провоцирующих инвалидизацию.
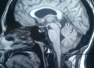
Наилучшим способом диагностирования патологии считают МРТ. Рентген и томография с помощью компьютера не показывают всей картины болезни.
Если в правом либо левом полушарии головного мозга найдена эктопия миндалевидного тела, то не стоит слишком волноваться. Патология не причиняет беспокойства и не нуждается в лечении. Однако такое решение может принять лишь врач.
У людей и многих видов животных именно данная часть головного мозга ответственна за вырабатывание позитивных и негативных эмоций – удовольствие, страх, гнев и другие. Размер мозжечковой миндалины обладает прямой зависимостью относительно агрессивных действий. Данная часть мозга сексуально-диморфна. К примеру, если мужчин был подвержен кастрации, то мозжечковые миндалины уменьшаются в размере на 30%.
Медиками было доказано, что многие психические заболевания связаны именно с нарушением нормальной функции мозжечковых миндалин. В частности, такие заболевания:
повышенная тревожность;аутизм;шизофрения;биполярное расстройство;различные фобии.
На самом деле миндалинами называют некоторое количество отдельно действующих ядер. Врачи их объединяют из-за того, что эти ядра находятся близко один к одному. Основными ядрами считаются:
базально латеральные ядра;медиально центральный комплекс;медиально корковый комплекс.
Базально латеральные ядра необходимы для формирования рефлекса опасения. Сигналы на ядра поступают от сенсорных структур. А вот медиально центральный комплекс является выходом базально латеральных ядер и необходим для формирования эмоционального возбуждения.
Еще недавно, врачи были уверены, что при заболевании Урбаха-Вите, у пациента отсутствует такая эмоция как страх. Известно, что у больных данной болезнью, миндалины мозжечка разрушены. Но более современные исследования и опыты доказали, что таких пациентов все же можно напугать. Это возможно при помощи воздействия воздуха и большого количества углекислого газа, посредством ингаляции. Однако соотношение газа к воздуху должно быть не менее 35%.
Данное миндалевидное тело отвечает за большое число различных обязанностей, к примеру:
Миндалина отвечает за мотивацию, т.е. побуждение к действию.просыпание;страх и его эмоциональные проявления;различные виды эмоций;выделения гормонального характера;память.
Благодаря мозжечковым телам, человек способен быстро и надолго запоминать эмоциональные реакции на разного рода события. А так как миндалевидное тело является частью лимбической структуры, человек обладает возможностью бессознательного обучения. Данной особенностью отличаются некоторые типы животных.
Головной мозг имеет особое строение, по этой причине происшествия, значимые в плане выживания, фиксируются при помощи сильной эмоции. Ведь основная работа мозга — это забота о выживании. Соответственно, такая эмоция активизирует внутренней механизм, необходимый для того, чтоб человек не забыл данное событие. Данная информация занимает расположение в долговременной памяти.
Бессознательное обучение может управлять формированием условных рефлексов. Данное обучение выполняется автоматически и на бессознательном уровне. Так как человеческие рефлексы располагаются в мозговых частях, которые не зависят от мышления, их сложно рационализировать. При исполнении своих обязанностей, миндалевидное тело взаимодействует с гиппокампом и базальными ганглиями. Вследствие этого взаимодействия, поступающие данные усваиваются на более высоком уровне.
Дистопия миндалин мозжечка — это специфическое опущение мозжечкового миндалевидного тела в крупное затылочное отверстие. Данную патологию могут именовать мальформацией Киари, происходит когда имеет место каудальная дислокация миндалевидного тела правой либо левой части головного мозга. Для болезни характерно пониженное стояние миндалевидного тела.
Подобное стояние миндалин никоим образом не отражается на жизнедеятельности больного и не вызывает беспокойств. У ребенка данную болезнь находят крайне редко, ей больше подвержены взрослые в промежутке от 30 до 40 лет. Диагностируется случайно, при плановых обследованиях либо лечении других проблем.
Подобное состояние возникает из-за врожденных отклонений, когда не совпадают объемы затылочного отверстия и мозга. Эктопия миндалин может иметь другое объяснение и быть вторичной. Такая ситуация вероятна при большом числе травм либо при неправильно взятых люмбальных пункциях.
Симптомы эктопии миндалин мозжечка сложно определить клиническим методом. Но порой вероятно проявления неврологического характера – болевые ощущения в области шеи во время нагрузок либо мышечного напряжения. Боль возникает в виде приступов. Параллельно возможны болевые ощущения в голове, иногда беспокоят головокружения. Чем больше опущение миндалин мозжечка, тем болезненнее и заметнее признаки. Если миндалевидные тела опустились и заняли слишком низкое положение, возможно появление сирингомиелии.
У людей и многих видов животных именно данная часть головного мозга ответственна за вырабатывание позитивных и негативных эмоций – удовольствие, страх, гнев и другие. Размер мозжечковой миндалины обладает прямой зависимостью относительно агрессивных действий. Данная часть мозга сексуально-диморфна. К примеру, если мужчин был подвержен кастрации, то мозжечковые миндалины уменьшаются в размере на 30%.
Медиками было доказано, что многие психические заболевания связаны именно с нарушением нормальной функции мозжечковых миндалин. В частности, такие заболевания:
- повышенная тревожность;
- аутизм;
- шизофрения;
- биполярное расстройство;
- различные фобии.
Анатомия миндалевидных тел
На самом деле миндалинами называют некоторое количество отдельно действующих ядер. Врачи их объединяют из-за того, что эти ядра находятся близко один к одному. Основными ядрами считаются:
- базально латеральные ядра;
- медиально центральный комплекс;
- медиально корковый комплекс.
Базально латеральные ядра необходимы для формирования рефлекса опасения. Сигналы на ядра поступают от сенсорных структур. А вот медиально центральный комплекс является выходом базально латеральных ядер и необходим для формирования эмоционального возбуждения.
Патологические состояния
Еще недавно, врачи были уверены, что при заболевании Урбаха-Вите, у пациента отсутствует такая эмоция как страх. Известно, что у больных данной болезнью, миндалины мозжечка разрушены. Но более современные исследования и опыты доказали, что таких пациентов все же можно напугать. Это возможно при помощи воздействия воздуха и большого количества углекислого газа, посредством ингаляции. Однако соотношение газа к воздуху должно быть не менее 35%.
Какие функции выполняют миндалины?
Данное миндалевидное тело отвечает за большое число различных обязанностей, к примеру:
Миндалина отвечает за мотивацию, т.е. побуждение к действию.
- просыпание;
- страх и его эмоциональные проявления;
- различные виды эмоций;
- выделения гормонального характера;
- память.
Благодаря мозжечковым телам, человек способен быстро и надолго запоминать эмоциональные реакции на разного рода события. А так как миндалевидное тело является частью лимбической структуры, человек обладает возможностью бессознательного обучения. Данной особенностью отличаются некоторые типы животных.
Головной мозг имеет особое строение, по этой причине происшествия, значимые в плане выживания, фиксируются при помощи сильной эмоции. Ведь основная работа мозга — это забота о выживании. Соответственно, такая эмоция активизирует внутренней механизм, необходимый для того, чтоб человек не забыл данное событие. Данная информация занимает расположение в долговременной памяти.
Бессознательное обучение может управлять формированием условных рефлексов. Данное обучение выполняется автоматически и на бессознательном уровне. Так как человеческие рефлексы располагаются в мозговых частях, которые не зависят от мышления, их сложно рационализировать. При исполнении своих обязанностей, миндалевидное тело взаимодействует с гиппокампом и базальными ганглиями. Вследствие этого взаимодействия, поступающие данные усваиваются на более высоком уровне.
Дистопия (эктопия) миндалин мозжечка
Дистопия миндалин мозжечка — это специфическое опущение мозжечкового миндалевидного тела в крупное затылочное отверстие. Данную патологию могут именовать мальформацией Киари, происходит когда имеет место каудальная дислокация миндалевидного тела правой либо левой части головного мозга. Для болезни характерно пониженное стояние миндалевидного тела.
Подобное стояние миндалин никоим образом не отражается на жизнедеятельности больного и не вызывает беспокойств. У ребенка данную болезнь находят крайне редко, ей больше подвержены взрослые в промежутке от 30 до 40 лет. Диагностируется случайно, при плановых обследованиях либо лечении других проблем.
Причины по которым миндалевидные тела опущены
Подобное состояние возникает из-за врожденных отклонений, когда не совпадают объемы затылочного отверстия и мозга. Эктопия миндалин может иметь другое объяснение и быть вторичной. Такая ситуация вероятна при большом числе травм либо при неправильно взятых люмбальных пункциях.
Признаки патологии
Симптомы эктопии миндалин мозжечка сложно определить клиническим методом. Но порой вероятно проявления неврологического характера – болевые ощущения в области шеи во время нагрузок либо мышечного напряжения. Боль возникает в виде приступов. Параллельно возможны болевые ощущения в голове, иногда беспокоят головокружения. Чем больше опущение миндалин мозжечка, тем болезненнее и заметнее признаки. Если миндалевидные тела опустились и заняли слишком низкое положение, возможно появление сирингомиелии.
Лечение и способы устранения признаков
Если нет неврологических жалоб, то взрослого либо ребенка могут не лечить. Однако даже если ситуация умеренная, ибо признаки отсутствуют, больных желательно подержать под контролем врача. Важно делать мониторинг показателей, дабы их норма не менялась и болезнь не развивалась.
Избежать операции можно, если начать вовремя лечиться.
При незначительных симптомах опущение, или другими словами вклинение миндалин, допускается лечить с помощью консервативных методов. Болевые ощущения устраняются с помощью сосудистых средств, нестероидных препаратов от воспаления, посредством миорелаксантов. Немаловажно будет придерживаться предписанного образа жизни.
Оперативное вмешательство (удаление) — порой самый результативный способ терапии для пациентов, у которых миндалина мозжечковая опустилась ниже допустимого уровня. Тоже самое касается и ситуации, когда патология слишком обширная и миндалины воспалились.
Удалить миндалевидное тело можно посредством увеличения размеров черепной ямки и вклинения в мозговую оболочку.
Когда оперативное вмешательство необходимо:
- постоянная головная боль, которая не проходит после приема лекарств;
- увеличение числа очаговых проявлений, провоцирующих инвалидизацию.
Наилучшим способом диагностирования патологии считают МРТ. Рентген и томография с помощью компьютера не показывают всей картины болезни.
Если в правом либо левом полушарии головного мозга найдена эктопия миндалевидного тела, то не стоит слишком волноваться. Патология не причиняет беспокойства и не нуждается в лечении. Однако такое решение может принять лишь врач.
Миндалина (миндалевидная железа, амигдала, мозжечковая мигдалина, лат.ncorpus amygdaloideum) является набором нейронов миндалевидной формы,nрасположенных глубоко в медиальной височной доли мозга.
Это структура лимбической системы, которая участвует во многих нашихnэмоциях и мотивациях, особенно тех, которые связаны с выживанием. Доказано, чтоnона играет ключевую роль в обработке эмоций, таких как страх, гнев, радость.nМиндалина также несет ответственность за хранение воспоминаний, и того места,nгде воспоминания хранятся в мозгу. Считается, что от нее зависит, насколькоnбольшой эмоциональный отклик вызывает то или иное событие.
Миндалина участвует в ряде функций организма, в том числе:
— Автономные реакции, связанные со страхом.
У человека и животных эта подкорковая структура мозга связана с реакциямиnстраха и удовольствия. Ее размер положительно коррелирует с агрессивнымnповедением у разных видов.
Миндалинаnобеспечивает быстрое и прочное запечатление в памяти эмоциональных событийnчасто после одноразового обучения.
Мозжечковая миндалина входит в лимбическую систему —nэмоциональный центр мозга. Это главный источник бессознательного обучения,nкоторое также присуще остальным животным.
Мозг устроен так, что он отмечает важные для выживанияnсобытия сильной эмоциональной реакцией. Так как главная задача мозга —nвыживание, такое событие запускает встроенный механизм, цель которого — не датьnмозгу его позабыть. Поэтому информация о таком событии откладывается вnдолговременной памяти.
Одна изnформ бессознательного обучения называется выработкой рефлексов. Подобнымnобразом лабораторные крысы учатся соотносить нейтральный раздражительn(например, определенный запах) с неприятным раздражителем (например,nэлектрическим разрядом). Крыса быстро учится бояться запаха, даже если он неnсопровождается электрическим разрядом. Этот вид обучения происходит совершенноnбессознательно и автоматически. У людей рефлексы с трудом поддаютсяnрациональному анализу, потому что они закрепляются в областях мозга,nнезависимых от центров мышления, и разуму трудно их контролировать. n Мозжечковая миндалина выполняет все эти функции, связываясь сnгиппокампом (еще один важный компонент системы сознательной памяти) и сnбаэальными ганглиями (центральным компонентом системы мозга, который отвечаетnза обучение новым навыкам и привычкам), и вынуждает их серьезно восприниматьnподступающую информацию.
Миндалина (миндалевидная железа, амигдала, мозжечковая мигдалина, лат. corpus amygdaloideum) является набором нейронов миндалевидной формы, расположенных глубоко в медиальной височной доли мозга.
Это структура лимбической системы, которая участвует во многих наших эмоциях и мотивациях, особенно тех, которые связаны с выживанием. Доказано, что она играет ключевую роль в обработке эмоций, таких как страх, гнев, радость. Миндалина также несет ответственность за хранение воспоминаний, и того места, где воспоминания хранятся в мозгу. Считается, что от нее зависит, насколько большой эмоциональный отклик вызывает то или иное событие.
Миндалина участвует в ряде функций организма, в том числе:
— Автономные реакции, связанные со страхом.
У человека и животных эта подкорковая структура мозга связана с реакциями страха и удовольствия. Ее размер положительно коррелирует с агрессивным поведением у разных видов.
Миндалина обеспечивает быстрое и прочное запечатление в памяти эмоциональных событий часто после одноразового обучения.
Мозжечковая миндалина входит в лимбическую систему — эмоциональный центр мозга. Это главный источник бессознательного обучения, которое также присуще остальным животным.
Мозг устроен так, что он отмечает важные для выживания события сильной эмоциональной реакцией. Так как главная задача мозга — выживание, такое событие запускает встроенный механизм, цель которого — не дать мозгу его позабыть. Поэтому информация о таком событии откладывается в долговременной памяти.
Одна из форм бессознательного обучения называется выработкой рефлексов. Подобным образом лабораторные крысы учатся соотносить нейтральный раздражитель (например, определенный запах) с неприятным раздражителем (например, электрическим разрядом). Крыса быстро учится бояться запаха, даже если он не сопровождается электрическим разрядом. Этот вид обучения происходит совершенно бессознательно и автоматически. У людей рефлексы с трудом поддаются рациональному анализу, потому что они закрепляются в областях мозга, независимых от центров мышления, и разуму трудно их контролировать. Мозжечковая миндалина выполняет все эти функции, связываясь с гиппокампом (еще один важный компонент системы сознательной памяти) и с баэальными ганглиями (центральным компонентом системы мозга, который отвечает за обучение новым навыкам и привычкам), и вынуждает их серьезно воспринимать подступающую информацию.
Одной из основных функций головного мозга является обеспечение выживания организма даже в предельно экстремальных условиях. Благодаря его особому строению значимые для выживания происшествия фиксируются в памяти посредством выраженной эмоции. Это эмоциональное переживание запускает механизм запоминания вызвавшего её события и, в случае его повторения, максимально быстрой мобилизации защитных структур. За весь этот процесс ответственна небольшая нейронная структура в области мозжечка.
Понятие миндалины, их местонахождение и функции
Миндалина мозжечка представляет собой систему специализированных нервных клеток миндалевидной формы, находящуюся в боковой височной доле мозга. Как составная часть лимбической структуры, отвечает за осуществление разного рода психических процессов:
- смена периода сна на бодрствование;
- чувство страха;
- некоторые формы эмоций;
- поступление в кровь разного рода гормонов;
- процессы сохранения информации, т.е. память.
Эти мозжечковые тела дают человеку способность быстрого запоминания и длительного сохранения в памяти эмоциональных реакций на всевозможные изменения в окружающем мире, а также возможность бессознательного обучения. Кроме того, объем мозжечковой миндалины напрямую зависит от уровня агрессивности поведения.
Патологии мозжечковых миндалин
Поражения миндалин мозжечка имеют место при довольно широком спектре различных заболеваний. Исходя из современных данных МКБ-10 поражение структур мозжечка возможно при следующих патологиях:
- Новообразования. Чаще встречаются медуллобластомы (развиваются из эмбриональных клеток в области задней ямки черепа), астроцитомы (новообразование, возникающее из астроцитов нейроглии) и гемангиобластомы (злокачественная опухоль неясного гистологического происхождения);
- Абсцессы. Бывают контактными (как правило отогенного происхождения, то есть занесенные из области среднего уха) и метастатическими (развиваются реже вследствие очагов гнойной инфекции в отдалённых локациях организма);
- Наследственные болезни. Мозжечковая атаксия Пьера-Мари, оливопонтоцеребеллярные атрофии (спорадическая форма, Дежерина-Тома);
- Алкогольная мозжечковая дегенерация. Возникает вследствие острой алкогольной интоксикации и при изменениях электролитного баланса из-за хронического алкоголизма;
- Рассеянный склероз. Гистологически выражается в диффузных мелкоточечных очагах в веществе нервной системы;
- Нарушения мозгового кровообращения (инсульт). Протекают по типу ишемии или геморрагии;
- Травмы черепа и головного мозга. Повреждения мозжечка чаще характеризуются синдромом дислокации;
- Врожденные и приобретенные недостатки развития. Состоят из тотальной (полной) и субтотальной (частичной) агенезии (врожденного отсутствия) а также гипоплазии (недоразвития).
Эктопия миндалины мозжечка содержит в себе изменение в формировании мозжечка, включающее смещение, неправильную локализацию и пролабирование миндалины мозжечка. В научных кругах именуется как синдром Арнольда-Киари, а также дистопия миндалин мозжечка.
Причины эктопии миндалин
Точная информация о механизмах возникновения данного порока наукой пока не раскрыта. Отмечено, что частота случаев аномалии коррелирует со следующими воздействиями на организм беременной женщины:
- неправильное назначение или самостоятельный прием лекарственных препаратов в процессе беременности;
- табакокурение, употребление алкоголя;
- частые случаи вирусных простудных заболеваний, коревая краснуха.
Вероятные причины эктопии миндалин делят на врожденные и приобретенные:
- изменения в процессе формирования скелета черепной коробки;
- уменьшение объема задней ямки черепа;
- расширение затылочного отверстия.
- травмы головного мозга при рождении;
- гидродинамический удар спинномозговой жидкости при затруднении её прохождения между полостями нервной системы.
Симптомы заболевания
По классификации медиков, исходя из присутствия тех или иных симптомокомплексов выделяют следующие синдромы:
- Гипертензионно-гидроцефальный синдром свидетельствует о повышенном внутричерепном давлении и характеризуется приступообразными болями в затылке. Отмечается усиление болей при таких процессах, как чихание, кашлевой рефлекс, движения мышц шеи. Также характерны приступы головокружения, рвота.
- Пирамидный синдром представлен тетра-, пара- или гемипарезом, стойким изменением чувствительности и движений в конечностях.
- Бульбарный синдром проявляется нарушениями в функционировании черепно-мозговых нервов – языкоглоточного, блуждающего, подъязычного. Возникают дисфункции глотательного рефлекса и произношения звуков, отклонение языка в сторону.
- Симптомы интрамедуллярного поражения появляются следствием гидро- и сирингомиелии. Специфичен кифосколиоз, связанный с поражением медиальных ядер, парезом аксиальных мышц и изменениями в питании тканей.
Нередко определяются корешковые синдромы, нарушения трофики трапециевидных мышц.
Методы диагностики
При подозрении на низкое расположение миндалин невролог обращает внимание на следующие клинические симптомы болезни:
- При неврологическом осмотре: нарушения походки, нистагм (частые неконтролируемые движения глаз), нарушения чувствительности, глотательного рефлекса;
- В процессе уточнения анамнеза болезни и жизни:
- давность возникновения болевого синдрома, парестезии, нарушения чувствительности – с момента рождения, детского возраста или позднее;
- перенесенные черепно-мозговые травмы и повреждения в области затылка.
Решающее значение в установлении диагноза имеют следующие методы диагностики:
- Магнитно-резонансная томография. Определяется увеличенный объем желудочков мозга, IV желудочек смещен книзу. Мезэнцефалон удлинен и внедрен в мозжечок.
- Определенную диагностическую значимость для узких специалистов имеют ориентировочные рентгенометрические показатели (линия Чемберлена, Мак-Грегора, Мак-Рея и т.д.).
- УЗИ. Используется ультразвуковое обследование головного мозга, при котором можно рассмотреть уменьшение или визуальное отсутствие большой цистерны мозга, деформация и смещение мозжечка.
Терапевтические мероприятия
В случае бессимптомного течения заболевания и отсутствия изменений со стороны нервной и других систем лечения не требуется, но больные всё же нуждаются в регулярном диспансерном наблюдении у невролога.
Если аномалия выражается жалобами на боли без нарушения функций внутренних систем и органов, проводится медикаментозная терапия, состоящая из назначения обезболивающих и противовоспалительных средств, а также медикаментов с миорелаксирующим действием.
Если заболевание сопровождается нарушениями в функционировании нервной системы (нарушения чувствительных и двигательных функций, и т.д.) или если болевые ощущения пациента не купируются в ходе консервативной терапии, может быть рекомендована операция. Хирургическое вмешательство заключается в ликвидации причин сдавливания и восстановлении циркуляции ликвора.


