Осумкованный плеврит – форма заболевания, характеризующая накоплением жидкости в ограниченной плевральными сращениями полости. Экссудат накапливается, путем выделения из мелких кровеносных сосудов жидкости во время воспалительных процессов. Проявления осумкованного плеврита зависит от объема накопленного экссудата и локализации заболевания, а также причины возникновения патологии. Для диагностики состояния и дальнейшего лечения пациентов применяются современные методы исследования, фармацевтические средства и хирургическое вмешательство.
Причины возникновения
Плеврит относится к осложнениям воспалительного процесса внутренних органов человека. В медицинской практике принято разделять причины развития болезни на следующие категории:
- Инфекционные.
- Асептические или неинфекционные.
В зависимости от причины болезни плеврит проявляет те или иные признаки развития патологии. Кроме того, причина появления недомогания определяет меры, применяемые во время лечения пациента.
Причинами осумкованного плеврита инфекционной природы являются:
- заражение бактериальной флорой (пневмококк, грамотрицательные бактерии, стафилококки);
- развитие грибковых организмов (кокцидиоидоз, кандидоз, бластомикоз);
- вирусные заболевания;
- заражение опасными паразитами (амебиаз, эхинококкоз);
- микоплазмозы;
- развитие туберкулезной палочки (20% от всех случаев плеврита);
- сифилис;
- сыпная и брюшная форма тифа;
- бруцеллез;
- туляремия;
- операции и механические травмы органов грудной клетки.
Внимание! Инфекционный плеврит развивается как сопутствующая форма других воспалительных процессов, вызванных распространением патогенной флоры. В таких случаях, как кандидоз, наблюдается прогресс численности условно-положительных микроорганизмов на почве ослабленного иммунитета. Однако условно-положительный характер инфекции не отменяет необходимость быстрого и своевременного лечения в избегании осложнений.
Причинами возникновения осумкованного плеврита неинфекционной природы являются:
- мезотелиома плевры – злокачественные новообразования плевры, образование метастаз в случае онкологических заболеваний молочных желез, легких, лимфатической системы и других органов (наблюдается в 25% случаев выпота);
- диффузное поражение соединительных тканей (ревматоидный артрит, склеродермия, системная форма красной волчанки, ревматизм, системная форма васкулита);
- инфаркт легкого;
- инфаркт миокарда;
- тромбоэмболия лёгочной артерии (ТЭЛА);
- геморрагические диатезы;
- лейкоз.
Прямое занесение инфекции в плевральную полость возможно лишь при нарушении целостности тканей и грудной клетки (происходит в условиях хирургического вмешательства или как последствие травмы), в других же случаях принято выделять субплевральные пути заражения из-за распространения инфекции через кровь, лимфу или ввиду соседства воспалительного процесса органов грудной клетки.
Классификация
В клинической медицине принято разделять выпот с помощью нескольких классификаций. Каждая классификация выделяет определенные характеристики состояния больного и позволяет подобрать наиболее эффективные методы лечения осумкованного плеврита после проведения диагностики.
Классификация по этиологии или причине появления:
- Инфекционные плевриты. Включают производные от названий вирусных, грибковых или бактериальных патологий – туберкулезный (провоцируемый палочкой Коха), сифилитические (провоцирует бледная трепонема), стафилококковый, пневмококковый, парапневмонический и другие.
- Асептические плевриты. Включают производные от названий неинфекционных патологий – опухолевый (злокачественные новообразования в легких), панкреатический, ревматический, посттравматический и другие.
- Идиопатические плевриты (патология с неизвестной причиной возникновения).
Определение причины заболевания – первый шаг диагностики. Во время консультации у врача специалист расспрашивает больного о его состоянии и выявляет факторы, повлиявшие на развитие болезни. Без определения причины патологии лечение может быть безрезультатным или продолжаться значительно дольше.
Классификация по месту расположения осумкованного плеврита:
Также можно встретить разделение выпота на частичный или полный. Если при частичном осумкованном плеврите наблюдается ограничение перемещения с одной или двух сторон, то во втором случае наблюдается полное фиксирование жидкости.
По характеру осумкованный плеврит подразделяется в зависимости от образующих его накоплений:
- Фибринозный.
- Серозный.
- Серозно-фибринозный.
- Гнойный.
- Гнилостный.
- Геморрагический.
- Эозинофильный.
- Холестериновый.
- Хилезный.
Характер выпота напрямую связан с причиной появления заболевания.
Кроме того, стоит отметить, что осумкованный плеврит встречается как одиночный выпот, так и в виде множественных накоплений жидкости.
Симптомы
Основным проявлением осумкованного плеврита принято считать утолщение серозной оболочки легких.
К общим симптомам заболевания относятся:
- насморк;
- повышение температуры тела;
- дискомфорт, болевые ощущения в области грудной клетки;
- сильный кашель с сопутствующими болями в области диафрагмы, брюшных мышц;
- отделение мокротных масс;
- одышка с хрипами и свистом;
- образование внутренних свищей;
- цианоз, смещение сердца;
- плеврическое излияние.
Дальнейшее лечение пациента и успешность терапии зависит от стадии заболеваний и серьезности подхода не только со стороны врача, но и со стороны больного.
Болевой синдром может иметь разные характеристики в зависимости от места плеврита и масштабов выпота.
Болевой синдром при осумкованном плеврите может:
Болевой синдром проявляется в комплексе с другими признаками болезни, такими как повышение температуры, лихорадка или озноб. Комбинация симптомов болезни может различаться в каждом случае патологии.
Немаловажным фактором проявления осумкованного плеврита является его расположение. Симптомы способны значительно отличаться в зависимости от формы и локализации выпота.
Признаки плеврита в зависимости от его расположения:
- Апикальный или верхушечный плеврит проявляется через образование болей иррадиирующего типа, распространяющихся в области руки, шеи, лопатки. Симптоматика может быть ошибочно принята за развитие плексита (поражение нервного сплетения) или рака Панкоста (новообразование верхней борозды легкого).
- Паракостальный или пристеночный плеврит проявляется через боли в области грудной клетки, усиливающиеся во время кашлевых спазмов или чихания.
- Базальный или диафрагмальный тип заболевания проявляется как дискомфорт во время глотания и появление болевого синдрома в верхнем отделе живота.
- Интерлобарный или междолевой тип плеврита может развиваться бессимптомно.
- Парамедиастинальный тип развивается бессимптомно либо проявляет признаки медиастинальной компрессии, наблюдаются боли в загрудинной области, одышка, стридорозное дыхание, дисфагия, сиплость голоса, увеличение вен в районе шеи, опухание лица. Также возможно появление признаков острого живота и абдоминальных болей в случае развития выпота в нижних отделах грудной клетки.
Симптомы заболевания напрямую связаны с объемом жидкости и местом расположением выпота.
Диагностика
Своевременная диагностика позволяет определить состояние грудной клетки человека, а также выявить бессимптомные формы осумкованного плеврита.
Все методы определения состояния можно разделить на две категории:
- инструментальные методы анализа (для диагностики применяются технические приспособления);
- лабораторные исследования.
Полная диагностика включает комплекс исследовательских мероприятий, позволяющих выявить стадию, масштабы выпота и его расположение.
Инструментальные методы анализа позволяют составить правильное представление о развивающемся заболевании и разработать эффективную стратегию лечения.
К методам технической диагностики относятся:
- Полипозиционная рентгенография грудной клетки (в трех проекциях).
- Рентгеноскопия легких.
- Наложение искусственного пневмоторакса и пневмоперитонеума.
- Компьютерная томография легких (КТ).
- Бронхография.
- Ангиопульмонография.
- Ультразвуковое исследование плевральной полости (УЗИ).
- Электрокардиограмма (ЭКГ).
Для составления клинической картины плеврита необходимо провести исследование не только выпота, но и находящихся рядом внутренних органов, для установления масштабов повреждения тканей.
Лабораторные методы исследования направлены на выявление причины воспалительного процесса и успешно способствуют диагностике в случае инфекционной природы выпота.
К лабораторным методам анализа относятся:
- Общий анализ крови.
- Общий анализ мочи.
- Биохимический анализ крови.
- Проба Манту, диаскинтест и другие первичные методы выявления туберкулезной инфекции.
- Анализ крови на реакцию Вассермана – выявление сифилиса.
Внимание! Для точного определения патогенного организма также возможно использование бактериального посева, методов ПЦР или ИФА.
Лабораторные методы анализа назначаются с учетом сопутствующих заболеваний и симптоматики плеврита.
Принципы лечения
После определения вида, масштабов и расположения плеврита назначается наиболее эффективная стратегия лечения, целью которой является скорейшее уничтожение причины появления болезни и полное восстановление организма.
Лечение осумкованного плеврита включает:
- консервативные методы;
- хирургическое вмешательство.
Выбор терапии происходит после наблюдения за состоянием пациента и определения стадии болезни.
К мерам консервативной медицины относятся:
- лечебные пункции;
- дренирование плевральной полости;
- терапия, направленная на снятие воспаления;
- лечебная физическая культура (ЛФК) с включением дыхательной гимнастки;
- меры физиотерапии;
- внутриплевральное введение антибиотиков;
- промывание плевральной полости раствором антисептиков;
- системный прием антибиотиков;
- курс противотуберкулезных препаратов;
- курс цитостатиков (в случае опухолевого плеврита);
- глюкокортикостероидная терапия (в случае ревматического плеврита).
Если методы консервативной терапии не дают результата, в лечение добавляют методы хирургического вмешательства.
Хирургические методы терапии включают:
- плеврэктомию (удаление части плевры);
- декортикация легкого (освобождение легкого от фиброзной ткани);
- резекция легкого (удаление части ткани органа).
Операции проводятся под местным или общим наркозом и применяются в тяжелых случаях осумкованного плеврита.
Прогноз
К наиболее точным прогнозам относятся:
- Прекращение образования экссудации после прохождения курса лечения наблюдается через 14-28 дней.
- В случае инфекционных осумкованных плевритов наблюдается риск возможного повторения скопления жидкости в плевральной полости.
- Плевриты, возникшие из-за злокачественных новообразований, отличаются быстрым развитием и риском осложнений.
- После завершения лечения пациентам необходимо проходить регулярную диагностику и консультацию у лечащего врача в течение последующих 3 лет.
Также после перенесения плевритов рекомендуется отказаться от работы с повышенной вредностью, придерживаться правил здорового образа жизни и избегать факторов, способствующих заражению или развитию простуды.
Профилактика
К мерам профилактики осумкованного плеврита относятся:
- выявление причин недомогания и быстрое лечение болезней, влияющих на развитие плевритов;
- полное удаление плеврального выпота;
- здоровый образ жизни (отказ от алкоголя, курения, регулярные прогулки и здоровое питание);
- снижение риска столкновения с простудными и инфекционными заболеваниями;
- комплекс мероприятий, повышающий иммунную защиту человека.
Стоит помнить, что чаще всего осумкованный плеврит является сопутствующей патологией, сопровождающей развитие основного воспалительного процесса. Вследствие этого для полного излечения необходимо провести комплексную диагностику и устранить все возможные болезнетворные факторы.
Правосторонний осумкованный плеврит
Осумкованный плеврит – заболевание, поражающее плевру легких. В результате воспаления происходит локальное скопление экссудата – жидкости, выделяемой мелкими кровеносными сосудами. В зависимости от того, где именно накопилось вещество и в каком количестве, болезнь может проявляться с различной симптоматикой, а иногда и без неё. Выделяют вид патологии, при котором жидкость не наблюдается вовсе.Осумкованным плевритом может заболеть любой человек в любом возрасте, чаще всего после перенесения тяжелой пневмонии. Плеврит является вторичным заболеванием, развивающимся на фоне иной патологии легких или других внутренних органов. Болезнь может маскировать более серьёзное нарушение в организме.
Причины возникновения
Причина развития данной патологии напрямую связана с присутствием другой болезни. Например, в результате пневмонии или туберкулеза может скопиться экссудат. К этому же приводит панкреатит или поддиафрагмальный абсцесс. Причинами осумкованного плеврита могут стать онкологические заболевания, в частности рак легких.
Болезнь может развиться из-за внешних факторов, таких как проникающие травмы грудной клетки (при этом происходит выделение экссудата и плевральное сращение), а также хирургическое воздействие.
Выделяют первичное и вторичное осумкование плевры. Первый вариант обозначает, что жидкости скопились между уже имеющимися сращениями. Второй появляется, когда экссудат отграничивается от тканей, тем самым образуя новые спайки.
Чаще всего плеврит развивается на фоне инфекций, но причиной возникновения могут быть и грибковые поражения, такие как:
Лечение от осумкованного плеврита может понадобиться и в том случае, если человек страдает от сифилиса, брюшного тифа, или распада опухолей. Последнее может привести к появлению патологии, если:
- Имеется сердечная недостаточность или проблемы с кровообращением
- В артериях легких находятся тромбы
- Человек страдает от панкреатита, волчанки, гемофилии или болезней суставов, перенес инфаркт
- Опухоль развивалась непосредственно на плевре или дала метастазы на соседние органы
- Имеются проблемы с работой почек
- Применяются медикаментозные средства.
Симптомы заболевания
Симптоматика и другие аспекты осумкованного плеврита могут различаться в зависимости от его вида, который определяется с помощью рентгена. Например, выделяют апикальный тип, при котором жидкости скапливаются вверху легкого. Парокостальный вариант отличается тем, что скопление упирается в поверхность ребер широкой частью. Выделяют междолевой плеврит, при котором экссудат откладывается в междолевых щелях. В этом случае на рентгене видна четкая картина – проявление болезни напоминает вытянутую тень. Базальный вид патологи характеризуется близким расположением выпота и диафрагмы.
Задуматься о необходимости лечения осумкованного плеврита можно по следующим симптомам:
- Болевые ощущения в боку, усиливающиеся при кашле
- Боль снижается, если лечь на данный бок
- Неприятные ощущения могут проявляться при глотании в груди и в области ребер
- Возможно развитие метеоризма и мучительной икоты
- При серьёзной степени заболевания половина грудной клетки перестает двигаться в процессе дыхания
- Появляются трудности со вздохами.
К симптоматике патологии также можно отнести быструю усталость, усиленное потоотделение в ночное время, а при прослушивании легких врач обратит внимание на хрипы и шумы. В редких случаях возможно увеличение некоторых отделов сердца справа.
Особенности видов плеврита
Если имеет место междолевый вариант, то болезнь может не проявить себя никакими признаками. При пристеночном боли концентрируются в грудной клетке, а диафрагмальный характеризуется болевыми ощущениями вверху живота. Человек, страдающий от апикального плеврита, может отметить, что боль отдается в руку или шейный отдел.
Обнаружить парамедиастинальный вид, как правило, можно только с помощью рентгена, хотя, в случае крупных скоплений жидкости, возможны загрудинные боли, появление проблем с дыханием, сиплость голоса, а также нередко набухают вены на шее.
Если выпот состоит из гноя, то заболевание может сопровождаться тяжелой степенью интоксикации, ознобами и слабостью. В таком случае требуется своевременное лечение, иначе жидкость может достичь бронхов и других тканей.
Диагностика патологии

Если осумкованный плеврит был сильно запущен, иногда требуется проведение компьютерной томографии. Эта методика во многом схожа с рентгеном, однако она дает более точное изображение и представление о распространении опухолевых процессов.
В результате течения заболевания могут произойти изменения в бронхах или сосудах. Подобное отслеживается специалистами с помощью таких рентгенов как бронхография или ангиопульмонография.
При диагностике плеврита, для успешного лечения важно не только узнать о расположении и течении заболевания, но и определить характер экссудата. Это делается с помощью ультразвукового обследования плевральной полости, а также взятия пункции и биопсии.
Помимо рентгена, при обследовании органов в грудной клетке может применяться диагностическая тораскопия. В конечном итоге происходит дифференциальная диагностика, которая помогает исключить присутствие патологий вроде кисты легкого или злокачественных образований.
Лечение осумкованного плеврита
После выяснения причин появления выпота, а также его состава, врач-пульмонолог назначает лечение заболевания. В некоторых случаях, при соответствующей первичной патологии, пациента могут передать онкологу или специалисту по туберкулезу.
Несмотря на общую сложность заболевания, осумкованный плеврит лечат относительно традиционными методами.
- Человеку предписывают постельный режим и прием обезболивающих
- Применяются антибиотики и препараты, направленные на борьбу с воспалением
- Прописываются витамины и физиотерапия
- Возможно применение водочных компрессов и ультразвуковой обработки плевры
- Иногда пациенту туго перебинтовывают грудь.
Физиотерапия обычно включает в себя дыхательную гимнастику и электрофорез, также применяется ультразвук. По результатам рентгена может быть назначено дренирование плевральной полости.
В дополнение к воздействию на осумкованный плеврит, лечение больного связано и с устранением первичного заболевания. По этой причине могут применяться цитостатики, глюкокортикостероидные и химиопрепараты.
Профилактика
Для того чтобы предотвратить развитие и последующее лечение плеврита осумкованного, нужно уделять внимание профилактике. Она связана со своевременным выявлением первичных заболеваний. В частности, при появлении симптомов пневмонии нужно проходить рентген (но не слишком часто).
Осумкованный плеврит не разовьется, если правильно и полностью вылечивать инфекционные заболевания. Помимо этого, стоит озаботиться вопросом развития сильного иммунитета, а также стоит уменьшить количество стресса в жизни.
Осумкованный плеврит является локальным воспалением в плевральной полости. Эта болезнь достаточно распространена, иногда она протекает совершенно бессимптомно. Вызывается патология разнообразными причинами, собственно, от которых и зависит лечение. Рассмотрим подробнее, что это такое — осумкованный плеврит.
Суть подобного заболевания
Такая патология является воспалительным процессом, характеризующимся ограниченным жидкостным скоплением между сформированными спайками. В большинстве ситуаций она является следствием тяжелого воспаления плевры или легких, в результате чего образуются сращения между плевральными листками. В зависимости от характера жидкости, накопившейся в полости, плеврит бывает серозным, фибринозным, геморрагическим или гнойным. Симптоматика и лечение различных видов осумкованного плеврита значительно отличается.
В чем состоят причины развития этой патологии?
Эта патология не выступает самостоятельным заболеванием. Чаще всего она является осложнением перенесенных болезней, которые связаны с поражением верхней области брюшины и легких.
Основной причиной возникновения осумкованного плеврита является пневмония наряду с туберкулезом, злокачественными опухолями органов дыхания, поддиафрагмальным абсцессом и панкреатитом. Помимо этого, к факторам, влияющим на возникновение этого недуга, относится поражение сосудов, болезни почек, инфаркт миокарда, а также длительное употребление некоторых лекарственных препаратов и травмы грудной клетки и органов дыхания.
Осумкованию плевральных выпотов способствуют рецидивы базового заболевания наряду с инфицированием экссудата, недостатком витаминов, стрессовыми ситуациями и частыми переохлаждениями.
Симптомы заболевания
Осумкованный плеврит представляет серьезную опасность для здоровья человека, так как зачастую относится к туберкулезной этимологии. Как правило, он может развиваться в задней части органа. В зависимости от района формирования патологических процессов, формы, а также стадии развития, симптоматика может различаться.
Междолевой осумкованный плеврит редко проявляется специфическими признаки. Что касается пристеночного типа, то он может вызывать болезненные ощущения в груди, чья интенсивность усиливается во время кашля и чихания. Апикальные плевриты часто проявляются болями, отдающими в руку, шею и лопатку. Каковы симптомы осумкованного плеврита? Давайте разбираться.
Парамедиастинальное заболевание может отличаться несколькими вариантами течения. Иногда оно вовсе не проявляется специфической симптоматикой. В результате люди могут жить с болезнью долгое время и не подозревают при этом о ее присутствии. Как правило, она обнаруживается во время рентгенологического исследования.
В том случае, если экссудат собирается в верхней области в больших количествах, то больные жалуются на одышку, а также на затрудненное дыхание и боли различной интенсивности. Когда содержимое находится в нижних очагах, то проявляются симптомы острого живота.
Гнойный плеврит
Гнойный формат плеврита легких имеет клинические проявления, похожие на эмпиему плевры. У больных при этом наблюдается тяжелая интоксикация наряду с повышением температуры, ознобом, слабостью и общим недомоганием. В том случае, если своевременно не назначить лечения, то возможны крайне негативные последствия. При продолжительном прогрессировании гной может прорвать мягкие ткани и проникнуть в бронхи.
Проведение диагностики
В целях установления диагноза используются данные осмотра и инструментальных методик обследования. При осмотре специалисты могут поставить лишь предварительный диагноз, так как клиническая картина при этом заболевании обычно выражена очень слабо.
Аускультация помогает выявить ослабление дыхания в районе поражения наряду с шумом трения плевры. В рамках перкуссии определяют притупление звуков над местом жидкостного скопления. Инструментальные методики диагностики дают возможность установить точный диагноз:
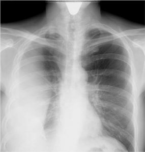
- Зачастую проводится при осумкованном плеврите рентген грудной клетки и легких. Снимок при этом делается в нескольких проекциях. Крупный осумкованный плеврит на рентгене обычно виден в форме затемнения в том или ином районе плевральной полости. По локализации определяют вид плеврита.
- Дополнительно проводится ультразвуковое исследование. На таком исследовании можно определять даже самые небольшие объемы жидкости.
- Еще одной методикой диагностического исследования является компьютерная томография. Ее проводят при запущенном плеврите, она дает более точное представление о свойствах и характере патологического процесса. Но эту процедуру проводят далеко не во всех медицинских учреждениях, а стоимость у нее достаточно высокая.
Дополнительно собираются следующие лабораторные данные:
- Сдача общего анализа крови. На фоне плеврита легких у людей наблюдаются сдвиги лейкоцитарной формулы влево наряду с увеличением СОЭ и умеренной анемией.
- В рамках биохимического анализа крови фиксируется понижение уровня альбумина наряду с увеличением гамма-глобулина.
- При анализе мочи могут обнаруживаться свежие эритроциты.
Описываемую патологию необходимо дифференцировать с прочими заболеваниями, например с очаговой пневмонией, злокачественным новообразованием и кистой легкого.
Лечение осумкованного плеврита
Лечебная тактика в этом случае определяется врачом с учетом происхождения и продолжительности заболевания, характера и количества выпота, а также наличия осложнений. Плеврит лечится в терапевтическом, фтизиатрическом или онкологическом отделении.
В случае скопления большого объема экссудата назначают плевральную пункцию. При помощи подобной манипуляции удаляют от одного до полутора литров жидкости, после чего в район плевры вводят антисептические препараты и гидрокортизон. Также дополнительно может быть назначено проведение дренирования плевральной полости с дальнейшей обработкой плевры посредством ультразвука.
В том случае, если результат консервативного лечения неудовлетворительный, то скорее всего будет принято решение о проведении хирургического вмешательства. В зависимости от степени состояния легкого пациенту могут провести плеврэктомию, представляющую собой удаление пораженного участка. Также иногда проводится декортикация, связанная с удалением спаек и резекцией легкого. Операцию проводят под общим наркозом, при этом в обязательном порядке требуется стационарное наблюдение.
Основные методики лечения
Лечение осумкованного плеврита (МКБ-10 — R09.1.) предполагает использование следующих терапевтических инструментов:
- Являясь чаще всего болезнью инфекционного происхождения, он требует назначения специальных антибиотиков. При этом применяются препараты широкого спектра воздействия.
- При наличии неинфекционной формы проводится лечение основной болезни, послужившей причиной.
- Дополнительно может назначаться дезинтоксикационная терапия.
- Пациентам показан ввод диуретиков.
- В случае развития недостаточности дыхания проводят его коррекцию.
Лекарственные средства при этой патологии вводят, как правило, не только внутримышечным или внутривенным способом, но и в плевральную область.
Диета как часть дополнительного лечения
Соблюдение пациентом рационального питания при наличии осумкованного плеврита играет немаловажную роль в рамках комплексного лечения этой патологии. Основной целью диеты является уменьшение объема экссудата в плевральной области.
Пациентам при этом заболевании в основном рекомендуют ограничивать употребление углеводов, а также жидкости, а вместе с тем и соли. В ежедневный рацион таким пациентам требуется включать рыбу наряду с мясом, кисломолочными продуктами, сливочным маслом, различными кашами, грецкими орехами, свежими овощами, ягодами и фруктами.
Дыхательные упражнения
Выполнение дыхательных упражнений приводит в порядок процессы дыхания, восстанавливая тем самым подвижность грудной клетки и улучшая защитные силы организма наряду с эмоциональным состоянием пациентов. Упражнения, как правило, базируются на чередовании выдохов и вдохов в различных положениях тела.
Непосредственно профилактика состоит в своевременном обнаружении базового заболевания, а вместе с тем и в грамотном его лечении. Обращаться к доктору за помощью следует уже при первых признаках недуга. В этом случае увеличиваются шансы избежать столь серьезного осложнения, как осумкованный плеврит.

