Отличить грибковую ангину от бактериальной можно в большинстве случаев по внешнему виду горла и проявлениям самой болезни. Обычно для этого не нужно каких-либо специальных анализов (например, анализа мазка со слизистой миндалин или анализа крови). Только в некоторых случаях клиническая картина болезни может быть настолько похожа на проявления типичной ангины, что требуется более сложная дифференциальная диагностика.
В первую очередь грибковую ангину можно отличить от бактериальной по:
- Внешнему виду горла;
- Размерам, области распространения и виду белого налета;
- Тяжести протекания болезни;
- Наличию определенных симптомов.
Давайте подробнее рассмотрим эти признаки.
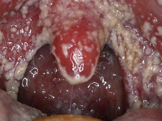
Различия в клинической картине: вид горла и самого налета
Здесь в первую очередь вспомним, что грибковой ангиной в большинстве случаев ошибочно называют не воспаление миндалин, вызванное грибками, а поражение грибком всего глоточного кольца. Поэтому легче всего отличить грибковую ангину от бактериальной можно по тому, что при грибковой сам налет обычно имеется и на миндалинах, и на язычке, и на небе (в том числе и на небных дужках), а иногда — на языке, деснах и задней стенке горла. При бактериальной ангине гнойники локализуются только на миндалинах, хотя покраснение может распространяться на небные дужки и мягкое небо.
Для примера приведем фото типичной грибковой ангины:
Далее, отличить грибковую ангину от бактериальной можно по таким признакам:
- Налет при грибковой ангине напоминает кусочки творога. Его так и называют — творожистые выделения, и из-за этого же в народе и грибковую ангину в том числе называют молочницей рта. Этот налет легко снимается ватой или пальцем, под ним не остается ран или язв. Напротив, гнойники при бактериальной ангине выглядят, как заполненные гноем резервуары, либо язвы. Для них характерно то, что они находятся внутри верхних слоев миндалин и как бы составляют часть их, в то время, как налет при грибковой ангине всегда появляется на поверхности. При бактериальной ангине гной удаляется уже с большим трудом, после чего на его месте остаются пятна свежей эпителиальной ткани без кровотечения;
- При грибковой ангине обычно значительно меньше выражено воспаление миндалин. Иногда они не увеличиваются в размерах и не краснеют вовсе, а лишь покрываются творожистым налетом;
- При грибковой ангине часто возникает воспаление только одной миндалины, что является редкостью для бактериального воспаления.
Ещё для примера одно фото грибковой ангины:
…и ещё одно — бактериальной:
Дополнительно симптомы этих болезней помогают уточнить предполагаемый диагноз.
Как различать эти болезни по симптоматике?
В целом грибковая ангина всегда протекает значительно мягче бактериальной. Больше, чем в половине случаев при ней не повышается температура и не развивается выраженное недомогание. Например, у ребенка грибковый фарингит или тонзиллит иногда обнаруживается случайно, при осмотре у врача или случайном заглядывании в горло. Зачастую никаких нарушений в поведении ребенка не обнаруживается.
Также при грибковом фарингите нередко отсутствуют боли в горле. А даже если они есть, то выражены обычно относительно слабо, не мешая больному глотать.
В то же время при гнойной бактериальной ангине (только её можно спутать с грибковой) у больного всегда повышается температура, иногда — до 40°С, развивается сильное недомогание, лихорадка, слабость, боли в горле, голове и мышцах, больной чувствует себя разбитым, его бросает в жар.
Во многих случаях грибковое поражение глотки не является патологией. Оно может быть временным следствием нарушения диеты, приема антибиотиков или стероидных препаратов. Если причины болезни устранить, сама грибковая ангина проходит за 4-5 дней. То есть иногда при ней не требуется специализированное лечение. Бактериальная ангина возникает только после заражением стрептококками или стафилококками, а при отсутствии лечения почти всегда вызывает тяжелые осложнения.
Сложные случаи
Однако бывают случаи, когда дифференциальная диагностика грибковой и бактериальной ангины действительно представляют собой сложности даже для специалиста.
Например, строго локализованный в миндалинах грибковый тонзиллит внешне очень похож на лакунарную ангину, и при нем может развиваться значительная гиперемия миндалин и небных дужек. На фото — пример такого случая:
Также ошибки в диагностике нередко возникают в ситуациях, когда при фарингомикозе развивается значительное воспаление миндалин, но творожистый налет не распространяется на большие площади тканей рта. Такие случаи очень редки, поскольку воспаление вообще не свойственно грибковым поражениям рта и зева, а когда оно развивается, налетом покрывается едва ли не все небо и задняя стенка горла.
Как дифференцируют грибковую ангину от бактериальной в больнице
Наиболее достоверный диагноз ставится после взятия на анализ мазка из зева, а также анализа крови.
При анализе мазка при грибковой ангине выявляется большое количество грибков, чаще всего из рода Candida (Candida albicans). При бактериальной ангине здесь же обнаруживается в патогенных количествах либо стрептококк, либо стафилококк, либо (крайне редко) гонококк. Одного только этого анализа достаточно для корректной диагностики.
При бактериальной ангине в крови выявляется лейкоцитоз, увеличение СОЭ до 30-40 мм/ч, палочкоядерный сдвиг в сторону увеличения молодых нейтрофилов. При грибковом тонзиллите эти признаки если и проявляются, то не значительно.
Главное отличие двух заболеваний
Обязательно следует помнить, что бактериальная ангина — это заболевание, которое обязательно должно лечиться системными антибиотиками, чтобы избежать развития тяжелых и опасных для жизни осложнений. Грибковая ангина во многих случаях вовсе не требует лечения, и для избавления от неё достаточно просто устранить причины развития грибкового поражения.
Нельзя вылечить грибковую ангину средствами от бактериальной, и наоборот. Даже более того, приемом антибиотиков, которыми эффективно лечится бактериальный тонзиллит, можно значительно усугубить течение грибковой болезни.
Именно поэтому суметь отличить грибковую ангину от бактериальной важно для того, чтобы либо избежать опасных осложнений, либо не давать больному без нужды тяжелые антибиотики. Очевидно, что сделать это лучше всего сможет врач, а пытаться отличать эти болезни в домашних условиях (а тем более назначать себе лечение) — глупо и опасно.
Особенности заболевания
Возбудитель грибковой ангины – дрожжеподобные грибы рода Candida (30 видов). Они относятся к условно патогенным микроорганизмам и часто населяют организм человека без видимого вреда. Инфицирование происходит контактным путем, редко воздушно-капельным и бытовым. Источник – зараженный человек с острой формой кандидоза (необязательно горла). При этом болезнь развивается не у всех. Инфекция часто дремлет, выжидая подходящего момента для размножения. Причины, почему грибы активизируются и вызывают кандидозный тонзиллит:
- снижение иммунитета;
- общее истощение, недостаток массы тела;
- детский и пожилой возраст;
- прием антибактериальных препаратов;
- повреждения в полости рта;
- курение, злоупотребление алкоголем;
- гормональное нарушение;
- хронические болезни, а особенно сахарный диабет, ВИЧ, кандидоз любых органов.
Грибковой ангиной нередко страдают младенцы, которые были рождены естественным путем матерью с молочницей влагалища. Поначалу болезнь может локализоваться в ротовой полости. В этом случае на языке, деснах можно заметить белые выделения, напоминающие творожную массу.
Как проявляется
Для заболевания характерно постепенное развитие. Первоначально у взрослых возникает дискомфорт при приеме пищи. У детей поражение обычно более массивно, творожистых выделений много, они присутствуют в слюне, заметны на деснах, внутренней стороне щек. Груднички реагируют на еду плачем.
Симптомы грибковой ангины:
- сухость в горле, першение;
- покраснение и отек слизистой мягкого неба, миндалин, язычка;
- боль, жжение при приеме пищи, особенно кислой, острой, твердой, горячей;
- увеличение чувствительности во всей ротовой полости;
- слабость, снижение аппетита, плач у детей при попытке поесть;
- повышенная температура тела (редко и незначительно).
Если убрать грибковый налет, будет видна слизистая алого цвета. Чем сильнее запущена болезнь, тем воспаление больше.
Чем отличается от других ангин
По статистике, бактерии вызывают заболевание намного чаще, чем грибы и вирусы. При вирусной инфекции присутствуют пузырьковые высыпания, а налет не образуется или его количество минимально. Поэтому обычно стоит вопрос, как грибковую ангину отличить от бактериальной. Сделать это можно по 3 признакам:
- налет имеет творожистую консистенцию;
- отсутствует резкий гнилостный запах изо рта;
- температура тела не повышена или повышена незначительно.
Кроме того, формы болезни отличаются тяжестью течения. Кандидозное поражение переносится легче. Подтвердить диагноз помогает мазок из зева – посев на микрофлору (возбудителя). Кроме того, при грибковой ангине наблюдается незначительное увеличение СОЭ в крови, тогда как при бактериальной инфекции его показатели достигают 30–40 мм/ч.
Лечение
Кандидозная ангина не требует госпитализации больного и лечится в домашних условиях под контролем врача (терапевта, ЛОРа). Если инфекция развилась на фоне приема антибактериальных препаратов, корректируется доза. Иногда таблетки отменяют или заменяют другими, более щадящими. Кроме того, на время лечения назначается диета с исключение кислых фруктов, сладостей, дрожжевых и молочных продуктов, блюд с содержанием уксуса. Крайне нежелательно пить алкоголь и курить. Оптимально составить меню из постного отварного мяса, рыбы, гречневой каши, яиц, овощей, чеснока и лука.
Специфическое лечение грибковой ангины проводится антимикотиками. Это группа препаратов, которые тормозят размножение грибов, а также ликвидируют их. Выпускаются в виде таблеток и мазей и обладают различной степенью активности. При кандидозе горла назначают обе формы лекарств.
- Внутрь: Флуконазол, Нистанин, Леворин, Кетоканазол, Дифлюкан.
- Для полосканий: 2% раствор борной кислоты, натрия тетрабората.
- Обработка горла: раствор метиленовый синий точечно ватной палочкой, раствор Люголя, Йодицирин спрей, 5–10% раствор танина или буры в глицерине.
Кратность приема лекарств и доза устанавливаются индивидуально врачом. Маленьким детям внутрь назначают Нистанин, Миконазол, Амфотерицин или Натамицин. Внешняя обработка проводится Хинозолом 5%, Этонием 0,5% или 1% водным раствором Сангвиритрина. При хронических кандидозах у взрослых на фоне снижения иммунитета эффективно лечение Флуконазолом курсом до 30 дней.
По той причине, что грибы активизируются на фоне снижения иммунитета и дисбактериоза, при кандидозной форме ангины часто назначают лечение иммуностимуляторами (Виферон, Гропринозин), витаминами (В2, С) и пробиотиками (Линекс, Йогурт, Аципол). Для обработки горла дополнительно могут применяться антисептические средства Гексорал, Тантум-Верде, Мирамистин другие. Для ускорения восстановления слизистой показаны облучения ультрафиолетом (физпроцедуры). Если присоединяется бактериальная инфекция, проводится лечение антибиотиками Флемоксин, Амоксиклав, другими.
В качестве дополнения к основному лечению можно использовать рецепты народной медицины. Вот 3 самых популярных средства при грибковой ангине.
1. Морковный сок. Небольшую морковь вымыть, почистить, натереть на терке, отжать. Полученным соком обрабатывать горло от 3 до 5 раз в день. Маленьким детям средство дают глотать с чайной ложки. Консервированный сок, магазинный для лечения не подходят.
2. Соленая вода и яичный белок. В стакане кипяченой воды растворить чайную ложку соли (можно добавить 4–5 капель йода). Прополоскать горло, а затем выпить сырой куриный белок. Средство помогает при сильной боли и жжении. Частота использования – 3–4 раза, если нет аллергии на яйца.
Прогноз
Поверхностные формы кандидоза, в том числе грибковая ангина, имеют благоприятный прогноз, быстро и без последствий излечиваются. В среднем, больничный лист выдается на 7–10 дней. Осложнения возможны у лиц с выраженным иммунодефицитом, или на фоне непрекращающегося приема антибиотиков в больших дозах. В таких случаях возможно 2 варианта развития события:
- переход в генерализованную форму с поражением внутренних органов (протекает подобно сепсису);
- присоединение бактериальной инфекции (под налетом появляются язвы, которые гноятся).
Оба осложнения требуют неотложной медицинской помощи и лечатся в условиях стационара.
Профилактические меры
Кандидозные инфекции относят к часторецидивирующим. Периодически с ними сталкивается каждый человек. Специфической профилактики нет. Избежать развития грибковой ангины помогает здоровый образ жизни и адекватное антибактериальное лечение. Нельзя принимать антибиотики без серьезных показаний. Если назначаются препараты системного действия, необходимо поддерживать баланс микрофлоры при помощи пробиотиков.
Чтобы защитить от болезни новорожденного, еще при беременности женщине необходимо исключить (вылечить) дисбактериоз влагалища. Маленьких деток ограждают от контактов с посторонними людьми, особенно от тех, кто болен кандидозом. Для предотвращения передачи инфекции от одного члена семьи другому рекомендуется часто мыть руки, обдавать предметы общего пользования кипятком. При кипячении и дезинфекции Кандиды погибают практически мгновенно.
Организм человека населяет множество микроорганизмов, в том числе грибы рода Candida. При крепком иммунитете их численность невелика. Для развития грибковой ангины нужен толчок – сбой в эндокринной системе, ослабление, тесный контакт с больным острым кандидозом. На заражение указывают такие признаки, как жжение в ротовой полости, боль при глотании, белые пятна на горле творожной консистенции. При их обнаружении нужно обратиться к врачу за лечением. Если диагноз подтвердится, необходимо будет пропить антимикотики, а также пообрабатывать горло специальными растворами от 3 до 5 раз в день. При своевременно принятых мерах болезнь не осложняется и полностью проходит за 1–1,5 недели.
Грибковая ангина диагностируется у детей и у взрослых. Заболевание поражает небные миндалины и глотку, что также наблюдают и при типичной стрептококковой ангине. Но, несмотря на схожую симптоматику, у них различная природа происхождения и лечение. А как отличить грибковую инфекцию от бактериальной и лечить, вы сейчас и узнаете.
Причины возникновения
Прежде чем рассматривать причины развития грибковой ангины (ее еще называют кандидозная ангина или молочница), знайте, что микроскопические грибки рода Кандида обитают в каждом организме. Их рост и размножение контролируется антителами иммунной системы. Но при воздействии определенных факторов, грибки выходят из-под контроля и начинают размножаться, поражая внутренние органы.
То же происходит и при грибковом заболевании горла. Только грибок Кандид поражает гортань и миндалины. Но что же становится причиной роста и размножения грибков в организме?
Т.к. жизнедеятельность грибков контролируется антителами иммунной системы, причиной развития ангины становится пониженный иммунитет. Его снижение наблюдается в результате:
- перенесенных вирусных заболеваний;
- дефицита или переизбытка в организме витаминов и минералов;
- дисбактериоза ;
- длительного приема антибактериальных препаратов;
- приема иммуностимуляторов и кортикостероидов;
- переохлаждения;
- долгого периода восстановления после тяжелых заболеваний;
- облучения.
Проявляемые симптомы
Симптомы грибковой ангины, как правило, носят выраженный характер. Поставить предположительный диагноз можно уже после первичного осмотра ротоглотки. При этом отмечаются следующие признаки:
- Налет. Появляется на небных валиках, миндалинах и дужках. Также распространяется на другие слизистые ротовой полости — мягкое небо, язык и щеки. Налет выглядит как белые хлопья с творожистой консистенцией.
- Покраснение слизистых. Наблюдается на всех пораженных участках ротоглотки.
- Отслоение эпителия. Симптом отмечается только на больших пораженных участках слизистых.
При общем самочувствии больного наблюдаются неприятные ощущения в глотке. Часто пациенты жалуются на першение и чувство царапания. У некоторых больных на фоне грибковой ангины возникают сильные боли в горле, которые отдают в ухо. Но этот симптом отмечается крайне редко.
Кроме того, ангина, вызванная грибками, проявляется незначительным повышением температуры, которая дополняется общим недомоганием и болями в мышцах. Но при развитии заболевания общее ухудшение самочувствия наблюдается в основном у детей, так как наиболее восприимчивым к инфекциям. А вот у взрослых такие симптомы возникают очень редко.
Отличие грибковой ангины от бактериальной
Хоть у внешних признаков заболеваний идентичный характер, между ними есть отличия. При бактериальной ангине температура высокая, в то время как при грибковой она если и повышается, то не выше 37,7°С. Кроме того, бактериальные инфекции сопровождаются тошнотой, отсутствием аппетита и острыми болями в горле. При грибковом поражении эти симптомы редкость.
Определить, какой вид ангины развивается у человека, можно и по характеру налета на слизистых ротоглотки. При грибковой после его удаления на слизистых остаются кровоточащие ранки, при бактериальной — слизистая просто приобретает красный цвет, но не кровоточит.
| Отличительные признаки ангин | ||
|---|---|---|
| Симптом | Грибковая | Бактериальная |
| Локализация | На миндалинах, языке и небе | На миндалинах |
| Тип налета | Творожистый | Гнойники |
| Боли | Слабые | Сильные |
| Температура | До 37,7°С | До 40°С |
| Анализ мазка | Грибки | Стрептококк или стафилококк |
| Анализ крови | Незначительное выявление аномалий | Сильное выявление лейкоцитоза и нейтрофилов, увеличение СОЭ до 30-40 мм/ч |
Возможные осложнения
Несвоевременная диагностика заболевания и отсутствие адекватного лечения чревато:
- присоединением бактериальной инфекции с дальнейшим развитием абсцесса;
- стенозом гортани, для которого характерен спазм мышц глотки и сужением просвета, в результате чего возникают приступы удушья;
- закупоркой дыхательных путей, возникающей при большом количестве творожистого налета, заполняющего пространство глотки;
- кандидосепсисом, для которого характерно заражение крови грибками.
Кандидосепсис — опасное состояние, приводящее к тяжелым последствиям, вплоть до летального исхода.
Самолечение и несвоевременное обращение к врачу может стать причиной распространения грибковой инфекции по полости рта и пищеводу, а также привести к открытию кровотечения из миндалин и развитию флегмоны.
Способы диагностики
На приеме врач осматривает ротоглотку пациента и берет мазок на определение бактериологической микрофлоры. Для анализа берется налет со слизистых оболочек миндалин и задней стенки глотки. Благодаря этому удается выявить тип возбудителя болезни и подобрать эффективные препараты.
Этот анализ достаточен, чтобы поставить правильный диагноз. Однако врачи рекомендуют также сдавать анализ крови, который выявит наличие сопутствующих воспалительных процессов в организме.
Методы лечения
Учитывая то, что грибковая ангина передается воздушно-капельным путем, чтобы не заразить остальных членов семьи, ее нужно лечить с первых дней. Чтобы вылечить заболевание, проводится комплексное лечение, направленное на устранение симптомов болезни и первопричины — пониженного иммунитета. Для этого используются как лекарственные препараты, так и средства нетрадиционной медицины.
Температура при грибковой ангине возникает редко и не превышает 37,7°С. Сбивать такую температуру не нужно, так как ее наличие говорит о том, что организм справляется с инфекцией.
Однако если температура выше 38°С, то она сбивается, чтобы не было обезвоживания и интоксикации организма. Для этого рекомендуется использование препаратов жаропонижающего действия. Если заболел ребенок, для нормализации температуры используют Нурофен или детский Парацетамол, если взрослый — Ибупрофен.
Для лечения используются противогрибковые препараты. Они подавляют рост грибков и нормализуют микрофлору. Чаще назначается Итраконазол. Но если болезнь прогрессирует и сопровождается осложнениями, используется внутривенное введение Флуконазола.
Помимо противогрибковых препаратов, назначается и местное лечение. Оно подразумевает применение антисептических растворов для обработки ротоглотки, которые препятствуют присоединению бактериальной инфекции и устраняют неприятные ощущения в горле. При грибковой ангине назначаются антисептики Мирамистин и Гексорал.
Также рекомендуется орошать глотку растворами Йодинола или Хинозола. Если наблюдается сильное поражение слизистых, то назначаются лекарства Люголь и Йодинол. Их используют для обработки пораженных участков ротоглотки. В тяжелых случаях применяется ультрафиолетовое облучение неба и миндалин.
А для повышения защитных сил организма, пациенту назначают иммуностимулирующие препараты и прописывают диету, обогащенную витаминами В и С.
Антибактериальные средства при грибковых инфекциях назначаются редко, так как не эффективны против грибков. Прием антибиотиков требуется только в том случае, если произошло присоединение бактериальной инфекции. В данном случае применяют антибактериальные препараты группы пенициллинов или макролидов.
Медикаментозное лечение грибковой ангины может дополняться средствами нетрадиционной медицины. Врачи рекомендуют полоскать горло яблочным уксусом и содой. Из них готовятся растворы по следующей схеме:
- с яблочным уксусом — 1 ст. л. уксуса на стакан теплой воды;
- с содой — 1 ч. л. соды на стакан теплой воды.
Чтобы быстро вылечить кандидоз ротоглотки, используют сбор трав, из которого готовятся растворы для полоскания. Для приготовления берутся в равных пропорциях следующие травы:
Для приготовления раствора возьмите 1 ст. л. сбора, залейте стаканом крутого кипятка и оставьте настаиваться 30 минут, а после процедите.
Эффективено при грибковой ангине средство, приготовленное из меда и сока лимона (стакан воды + 1 ст. л. меда + 1 ст. л. лимонного сока). Для полоскания горла еще можно использовать настой каланхоэ или прополиса (1 ч. л. настойка на стакан воды).
Горло полощут минимум 5 раз в сутки теплым раствором. После проведения процедуры не рекомендуется употреблять пищу или пить на протяжении последующих 30 минут.
Средства народной медицины для лечения грибковой ангины могут использовать только взрослые. Применять их для лечения детей не стоит, так как травы и продукты пчеловодства могут вызвать у малышей аллергию.
Особенности лечения при беременности и кормлении
Лечение грибковой ангины у беременных и кормящих матерей должно происходить под строгим контролем врача. В данном случае выбираются противогрибковые препараты, оказывающие минимальное воздействие на плод и новорожденного.
Помимо этого применяют асептические растворы для полоскания горла, соблюдают диету без сладостей и выпечки, обильное питье и витаминизированное питание. В случае отсутствия положительного результата в течение нескольких суток и ухудшении самочувствия, требуется госпитализация.
Особенности лечения у детей
У детей принцип лечения грибковой ангины не отличается от взрослых. Единственное отличие — дозировка используемых препаратов. Для ребенка она меньше и подбирается с учетом возраста и массы тела.
В данном случае также применяют препараты противогрибкового и антисептического действия. Обязателен прием поливитаминных комплексов и иммуностимуляторов для укрепления иммунитета.
Но помните, что каждый случай индивидуален, поэтому все лекарственные средства должны назначаться только врачом. При тяжелом течении болезни потребуется проведение нескольких курсов интенсивной терапии.
Чтобы быстро вылечить кандидоз ротоглотки, используют сбор трав, из которого готовятся растворы для полоскания. Для приготовления берутся в равных пропорциях следующие травы:
Для приготовления раствора возьмите 1 ст. л. сбора, залейте стаканом крутого кипятка и оставьте настаиваться 30 минут, а после процедите.
Эффективено при грибковой ангине средство, приготовленное из меда и сока лимона (стакан воды + 1 ст. л. меда + 1 ст. л. лимонного сока). Для полоскания горла еще можно использовать настой каланхоэ или прополиса (1 ч. л. настойка на стакан воды).
Горло полощут минимум 5 раз в сутки теплым раствором. После проведения процедуры не рекомендуется употреблять пищу или пить на протяжении последующих 30 минут.
Средства народной медицины для лечения грибковой ангины могут использовать только взрослые. Применять их для лечения детей не стоит, так как травы и продукты пчеловодства могут вызвать у малышей аллергию.
Особенности лечения при беременности и кормлении
Лечение грибковой ангины у беременных и кормящих матерей должно происходить под строгим контролем врача. В данном случае выбираются противогрибковые препараты, оказывающие минимальное воздействие на плод и новорожденного.
Помимо этого применяют асептические растворы для полоскания горла, соблюдают диету без сладостей и выпечки, обильное питье и витаминизированное питание. В случае отсутствия положительного результата в течение нескольких суток и ухудшении самочувствия, требуется госпитализация.
Особенности лечения у детей
У детей принцип лечения грибковой ангины не отличается от взрослых. Единственное отличие — дозировка используемых препаратов. Для ребенка она меньше и подбирается с учетом возраста и массы тела.
В данном случае также применяют препараты противогрибкового и антисептического действия. Обязателен прием поливитаминных комплексов и иммуностимуляторов для укрепления иммунитета.
Но помните, что каждый случай индивидуален, поэтому все лекарственные средства должны назначаться только врачом. При тяжелом течении болезни потребуется проведение нескольких курсов интенсивной терапии.
Профилактические меры
Чтобы избежать развития грибковой ангины, следует выполнять несложные правила:
- оградить общение с больным человеком;
- соблюдать правила личной гигиены — пользоваться отдельной посудой и туалетными принадлежностями;
- соблюдать правила рационального и сбалансированного питания;
- своевременно лечить хронические инфекции, приводящие к снижению иммунитета — кариес и тонзиллит ;
- закаливать организм;
- проходить курс поливитаминными комплексами раз в 3 месяца.
Совет врача: как быстро вылечить грибковую ангину
Следует подтвердить грибком ли вызвана ангина или бактерией. Для этого с миндалин берется мазок с определением чувствительности к фунгицидным средствам. Далее в зависимости от вида грибка врач назначает лечение противогрибковыми препаратами.
Для избежания рецидива заболевания необходимо пропить лекарства в течении всего курса терапии.
Гриб Кандида нормальный обитатель слизистых оболочек. Их можно всегда обнаружить на коже, во рту и в кишечнике. Это вид грибков должен жить в организме. Если он не вызывает проблем, то лечиться не нужно.
Главный фактор возникновения грибковых инфекций — гинетика. Если у родителей, бабушек и дедушек были грибки, то вероятность того что они будут и у Вас высока. Тем не менее к факторам, увеличивающим риск относятся:
- прием некоторых лекарств — антибиотики и противовоспалительные гармоны, подавляющие иммунную систему;
- болезни — диабет и ожирение;
- иммунодифециты.
Для предотвращения ангины и других инфекций достаточно соблюдать гигиену, поддерживать иммунитет, своевременно лечиться, правильно питаться и вести здоровый образ жизни.
Несмотря на то, что грибковая ангина легко лечится, заниматься самолечением не стоит. Только опытный и классифицированный врач подберет курс медикаментозной терапии, которая позволит в короткие сроки избавиться от заболевания и избежать возникновения на его фоне осложнений.
Профилактические меры
Чтобы избежать развития грибковой ангины, следует выполнять несложные правила:
- оградить общение с больным человеком;
- соблюдать правила личной гигиены — пользоваться отдельной посудой и туалетными принадлежностями;
- соблюдать правила рационального и сбалансированного питания;
- своевременно лечить хронические инфекции, приводящие к снижению иммунитета — кариес и тонзиллит ;
- закаливать организм;
- проходить курс поливитаминными комплексами раз в 3 месяца.
Совет врача: как быстро вылечить грибковую ангину
Следует подтвердить грибком ли вызвана ангина или бактерией. Для этого с миндалин берется мазок с определением чувствительности к фунгицидным средствам. Далее в зависимости от вида грибка врач назначает лечение противогрибковыми препаратами.
Для избежания рецидива заболевания необходимо пропить лекарства в течении всего курса терапии.
Гриб Кандида нормальный обитатель слизистых оболочек. Их можно всегда обнаружить на коже, во рту и в кишечнике. Это вид грибков должен жить в организме. Если он не вызывает проблем, то лечиться не нужно.
Главный фактор возникновения грибковых инфекций — гинетика. Если у родителей, бабушек и дедушек были грибки, то вероятность того что они будут и у Вас высока. Тем не менее к факторам, увеличивающим риск относятся:
- прием некоторых лекарств — антибиотики и противовоспалительные гармоны, подавляющие иммунную систему;
- болезни — диабет и ожирение;
- иммунодифециты.
Для предотвращения ангины и других инфекций достаточно соблюдать гигиену, поддерживать иммунитет, своевременно лечиться, правильно питаться и вести здоровый образ жизни.
Несмотря на то, что грибковая ангина легко лечится, заниматься самолечением не стоит. Только опытный и классифицированный врач подберет курс медикаментозной терапии, которая позволит в короткие сроки избавиться от заболевания и избежать возникновения на его фоне осложнений.




