Пневмонит – отличие от пневмонии
Несмотря на схожесть названий и клинической картины заболеваний, пневмонит и пневмония — совершенно разные заболевания. Хотя на практике часто возникают определенные трудности с дифференциальным диагнозом между этими нозологиями. Пневмония — это острое инфекционно-воспалительное заболевание легочной ткани, которое всегда сопровождается экссудацией жидкости в альвеолярный просвет. А при пневмоните поражается интерстициальная ткань и стенки альвеол.
Принципиальная разница между этими патологиями заключается в причинах, механизмах развития симптомов, а также в морфологических изменениях самой легочной ткани. Фактически же основное отличие подразумевает только распространенность процесса. При пневмонии антибиотики являются основным компонентом этиотропного лечения, в то время как при пневмоните они неэффективны.
Причины заболевания
Механизм развития пневмонита, как и все причины его возникновения до сих пор остаются исследованы не до конца. Пока достоверно невозможно объяснить, почему при действии определенных факторов у одних людей заболевание развивается, а у других нет. Предполагается участие аутоиммунных и аллергических реакций в развитии некоторых видов пульмонита. Основные провоцирующие факторы заболевания:
- токсины, которые человек вдыхает при наличии профессиональных вредностей (краски, лаки или другие химикаты);
- медикаменты, например, амиодарон, сульфаниламидные препараты, цитостатики, некоторые антибиотики;
- тяжелые металлы, например, ртуть;
- наркотические вещества;
- аллергены как респираторные, так и пищевые;
- лучевое поражение;
- ожоги дыхательных путей;
- микробы и простейшие при значительном ослаблении иммунной реактивности, например при ВИЧ-СПИДе (грибки рода Candida, токсоплазмы);
- пыль биологического происхождения (белковая, животная, растительная).
Внимание! Возникновению пневмонита способствует курение, особенно если оно сочетается с каким-либо другим неблагоприятным фактором.
Также пневмонит может развиться при таких патологических состояниях:
- системные коллагенозы, например, системная красная волчанка;
- саркоидоз;
- цирроз печени;
- легочной туберкулез;
- некоторые заболевания сердца;
- патология пищевода и желудка (гастроэзофагеальный рефлюкс или грыжа пищеводного отверстия диафрагмы);
- аллергические заболевания.
Эта патология встречается преимущественно у взрослых, дети же болеют ею крайне редко.
Формы пневмонитов
По причинам возникновения пневмониты разделяют на такие формы:
Иногда пневмонит может возникнуть при синдроме Мендельсона — респираторном дистресс-синдроме у взрослых после оперативного вмешательства из-за аспирации кислотного содержимого ЖКТ. Этот пневмонит получил название аспирационного.
По характеру клинической картины и течению пневмониты бывают:
Легче всего поддаются медикаментозному воздействию острые формы этого заболевания.
Симптомы пневмонита
Клиническая картина пневмонита неспецифическая. Особенно это касается начальных стадий заболевания, когда симптомы весьма скудные. Обычно признаки патологии появляются постепенно:
- одышка: сначала беспокоит больного только при физической нагрузке, а в дальнейшем появляется и в состоянии покоя;
- удушье в виде приступов, которые чаще всего появляются ночью;
- кашель: обычно сухой, хронический, без связи с ОРВИ;
- повышение температуры тела;
- боль в грудной клетке или ощущение дискомфорта.
Если речь идет о пневмоните вследствие обтурации бронха, могут наблюдаться и другие симптомы: потеря веса, слабость, анемия, цианоз, повышенная потливость, в частности — ночью.
При гиперчувствительном пневмоните может наблюдаться связь признаков заболевания с контактом с причинным аллергеном.
Диагностика
Диагностикой заболевания должен заниматься пульмонолог или терапевт, поэтому при появлении первых признаков пневмонита нужно обращаться к врачу. После выяснения жалоб пациента обязательно детально изучается анамнез заболевания и наличие профессиональных вредностей. Больной отмечает наличие частых пневмоний с атипичным течением.
Далее проводится физикальное исследование. Врач может обнаружить учащение дыхания, цианоз носогубной области, характерные для хронического легочного сердца изменения пальцев, ногтей. При одышке отмечается втяжение податливых мест грудной клетки на вдохе (межреберных промежутков, яремной ямки) и раздувание крыльев носа. При аускультации может выслушиваться жесткое дыхание, влажные среднекалиберные хрипы на вдохе.
Обязательно проводится оценка функции внешнего дыхания с помощью спирографии, которая выявляет разные типы нарушения: обструкция, рестрикция или смешанное. Дополнительно может быть проведена бронхоскопия и бронхография. В ходе бронхоскопии можно произвести бронхоальвеолярный лаваж с последующим анализом промывных вод. Для окончательного подтверждения диагноза может понадобиться биопсия легкого.
В анализе крови при гиперсенситивном пневмоните выявляется повышенное количество эозинофилов, что свидетельствует об аллергической природе заболевания. Также будут изменения в крови, характерные для воспалительного процесса: увеличение СОЭ, лейкоцитоз. При дыхательной недостаточности назначается анализ газового состава крови. Обязательно проводится микроскопия и бактериологический посев мокроты, в первую очередь для исключения туберкулеза.
Лечение
Терапия пневмонитов в первую очередь должна начинаться с элиминации причинного фактора. Это значит, что при профессиональном контакте с патогеном следует сменить работу, при медикаментозном происхождении пневмонита — отменить препарат.
Важно! Медикаментозное лечение должен назначать только врач пульмонолог или профпатолог. Изменять схему назначения или самостоятельно отменять его не рекомендуется.
Антибиотики показаны только в случае доказанного бактериального происхождения пневмонита. Если изначально подозревается пневмония, то после антибиотикотерапии следует сделать контрольный рентгеновский снимок для исключения обтурационного пневмонита, обусловленного опухолью легких.
При большинстве видов пневмонитов наиболее эффективным оказывается назначение глюкокортикостероидов (Преднизолон, Метипред). Однако и при их использовании можно лишь сдерживать прогресс заболевания, мгновенного результата от гормональной терапии ждать не следует. Иногда могут быть показаны цитостатики (Метотрексат) или другая иммуносупрессивная терапия. Средства симптоматического лечения подбираются доктором индивидуально, например, отхаркивающие или противокашлевые препараты. При тяжелом течении проводят оксигенотерапию.
В дополнение к медикаментам применяются ингаляции, массаж, ЛФК. Также показано санаторно-курортное лечение, курсы витаминотерапии. Диетические рекомендации включают соблюдение полноценного рациона питания с употреблением мяса, яиц, рыбы, фруктов, овощей, орехов и зелени.
Прогноз
При несвоевременной диагностике пневмонита или отсутствии адекватного лечения заболевание может быстро прогрессировать и привести к фиброзным изменениям в легких, которые являются необратимыми. Это развитие соединительной ткани в органе на месте нормальной альвеолярной структуры. Вследствие фибротических процессов уменьшается жизненная емкость легких, прогрессирует дыхательная недостаточность, развивается синдром хронического легочного сердца.
Кроме этого фиброз и склероз легких создают благоприятные условия для развития абсцессов и даже злокачественных образований. Иногда развиваются спайки в плевральных полостях.
Диагностика и лечение пневмонита должны носить комплексный характер под наблюдение опытного врача, что позволит своевременно оказать помощь больному и предотвратить осложнения.
Распространенные причины патологии – загрязнение воздуха, например, на производстве. Кроме того, пульмонит нередко бывает лекарственным, то есть возникает как побочный эффект противораковых и многих других медикаментов.
Наиболее распространенный симптом пневмонита – затрудненное дыхание и одышка, что часто сопровождается сухим кашлем. Для постановки этого редкого диагноза необходимо специальное обследование у пульмонолога. Лечение направлено на устранение раздражающих факторов и подавление воспаления.
В соответствии с классификацией МКБ-10 пульмонит обозначается несколькими кодами:
- вызванный твердыми веществами и жидкостями – J69 (пищей и рвотными массами – J69.0, маслами и эссенциями – J69.1, другими твердыми веществами и жидкостями – J69.8);
- гиперсенситивный (гиперчувствительный), вызванный органической пылью – J67.
Условно к первой группе относят фиброзирующий пульмонит (альвеолит), ко второй – аллергический.
Заболевание может возникнуть в любом возрасте, но чаще всего оно диагностируется у людей 50 – 55 лет.
Пневмонит: причины
Проявления заболевания связаны с воспалением в стенках мельчайших воздушных легочных пузырьков – альвеол. Эти стенки отекают и утолщаются, поэтому сквозь них не могут проходить газы: кислород – из воздуха в кровь, углекислый газ – в обратном направлении.
Известно много веществ, вызывающих пульмонит. Однако для конкретного пациента причина болезни чаще всего остается неизвестной.
Возможные причины пневмонита:
Болезнь могут вызывать разные медикаменты, в том числе антибиотики, химиотерапевтические средства, антиаритмические препараты, аспирин в большой дозировке.
- Грибки и бактерии
- Контакт с птицами
Частой причиной болезни становится постоянный контакт с перьями или экскрементами птиц.
- Лучевая терапия
Пульмонит может развиться у людей, проходящих радиотерапию по поводу рака легких или молочной железы. Сам по себе он не является раковым заболеванием. Также патология иногда возникает после распространенной лучевой терапии, которая необходима при подготовке к пересадке костного мозга.
Факторы риска
Существуют факторы риска пульмонита, то есть профессии и увлечения, связанные с более высокой вероятностью заболеть:
Многие виды сельскохозяйственных работ проводятся с использованием инсектицидов, пестицидов и других токсичных аэрозолей. Вдыхание частиц заплесневелого сена в воздухе является одной из наиболее распространенных причин профессионального пульмонита. Частицы плесени также могут вдыхаться во время сбора зерна и сена.
Работники птицеводства и люди, которые разводят или содержат голубей, часто подвергаются воздействию помета, перьев и других веществ, которые могут вызвать пульмонит.
- Горячие ванны и увлажнители воздуха
При приеме водных процедур в помещении с признаками плесени горячий пар смешивается с ее частицами и проникает в органы дыхания. Еще один распространенный резервуар для роста плесневых грибков – домашние увлажнители воздуха.
- Лечение онкологических заболеваний
Некоторые химиотерапевтические препараты и лучевая терапия легких могут вызывать пневмонит. Сочетание этих двух методов лечения повышает риск необратимого поражения органов дыхания.
Пульмонит может быть вторичным по отношению к другим заболеваниям:
- Длительное пребывание в бессознательном состоянии, частое алкогольное опьянение и другие причины, способствующие попаданию частичек пищи в дыхательные пути (обтурационный пневмонит).
- Болезни соединительной ткани (волчанка, ревматоидный артрит и другие).
- Уремический пневмонит – воспаление легочной ткани, которое вызвано выделением через нее продуктов обмена (они не выводятся естественным образом из-за нарушенной функции почек при их недостаточности).
- Болезни крови (лейкозы) почти у половины больных сопровождаются лейкозным пневмонитом.
Для улучшения функции органов дыхания во всех этих случаях необходимо лечение основного заболевания.
Отрасли производства, на которых повышен риск заболевания:
- уход и обработка птицы;
- ветеринария;
- животноводство;
- мукомольное производство;
- рабочие специальности (фрезеровщики, плотники);
- виноделие;
- производство пластмассы и электроники.
Воздействие вредного вещества не означает, что человек обязательно заболеет. Большую роль в развитии патологии играют генетические изменения. Например, риск заболеть выше, если в семье уже были случаи пульмонита. Также эта патология часто возникает при лучевой терапии легких по поводу рака (постлучевой пневмонит).
Симптомы
Первые симптомы аллергического (гиперчувствительного) варианта болезни обычно появляются через 4 – 6 часов после вдыхания раздражающего вещества. Развивается острый приступ, похожий по симптомам на простудное заболевание. Пациент ощущает такие симптомы:
- лихорадка;
- озноб;
- боль в мышцах и суставах;
- головная боль.
Если контакт с аллергеном не повторялся, подобные признаки проходят через несколько дней, при продолжающемся действии вредного вещества примерно в 5% случаев может развиться хроническая форма заболевания.
Самый частый симптом хронического интерстициального пневмонита – одышка, которая может сопровождаться сухим кашлем. Если заболевание не диагностировать и не начать лечение на ранней стадии, постепенно развивается хроническое воспаление, ведущее к разрастанию в легких соединительной ткани (к развитию пневмосклероза и пневмофиброза).
Симптомы хронической формы:
- одышка при нагрузке и в покое;
- постоянный сухой кашель;
- быстрая утомляемость, слабость;
- потеря аппетита;
- снижение веса;
- синюшность кожи.
Осложнения
Недиагностированная или нелеченная болезнь может вызвать необратимое повреждение легких.
В здоровых легких между альвеолами находится эластичная ткань, которая растягивается при каждом вдохе, раздвигая стенки воздушных пузырьков. Хроническое воспаление стенок альвеол приводит к разрастанию в них плотной, неэластичной соединительной ткани. В тяжелых случаях легкие начинают напоминать жесткую высушенную губку. Такое состояние называется пневмофиброзом. Это основное осложнение пневмонита, и оно необратимо.
Пневмофиброз, в свою очередь, становится причиной перегрузки правых отделов сердца, дыхательной недостаточности и гибели больных.
В рак легких пульмонит не трансформируется.
Диагностика
Обследование начинается с физического смотра и тщательной аускультации легких.
Кроме того, назначаются лабораторные исследования:
- анализ крови общий (при экзогенном пульмоните повышено содержание эозинофилов) и определение уровня в крови иммуноглобулина Е;
- выявление в крови аллергенспецифических иммуноглобулинов Е к конкретному аллергену, например, плесени.
Для дифференциальной диагностики пневмонита и пневмонии полезны визуализирующие методы. При пневмонии поражается небольшая часть легочной ткани, тогда как пневмонит затрагивает все доли легких. Назначаются такие исследования:
- Рентгенография органов грудной клетки
- Компьютерная томография
- Для определения тяжести легочных нарушений используется исследование функции внешнего дыхания, а также определение содержания кислорода в крови с помощью пульсоксиметра.
- Следующий вид исследования– бронхоскопия. С ее помощью врач осматривает бронхи, берет биопсию, анализ промывных вод. Если необходимо получить несколько крупных образцов легочной ткани из разных участков, врачи назначают открытую биопсию, которая берется во время хирургической операции на легких.
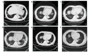
Пневмонит на КТ диагностируется по таким признакам:
Также могут определяться расширения бронхов – бронхоэктазы, узелки в ткани легких. Изменения симметричны, что является еще одним отличием от пневмонии.
Лечение пневмонита и прогноз заболевания
Первым шагом в лечении пульмонита является отказ от контакта с провоцирующим фактором, вплоть до смены профессии. Дома следует избегать сырости, использования некачественных увлажнителей воздуха, гидромассажных ванн, пластиковых душевых кабин, где легко развивается плесень. Это помогает уменьшить выраженность симптомов заболевания.
В тяжелых случаях лечение пульмонита включает прием лекарственных средств:
- кортикостероиды для приема внутрь длительным курсом для подавления воспаления в легких; в более тяжелых случаях – иммуносупрессоры и цитостатические препараты;
- бронхорасширяющие препараты в виде аэрозолей (те же, что и при лечении ХОБЛ);
- кислородная терапия с помощью домашних аппаратов-оксигенаторов (постоянная или во время сна);
- антибиотики не показаны, так как инфекционного компонента воспаления нет.
Пневмонит – это не рак, на ранних стадиях он излечим. Важно вовремя обратиться к терапевту или пульмонологу при появлении первых симптомов заболевания. В тяжелых случаях пациент может стать кандидатом на трансплантацию (пересадку) легких.
В благоприятных случаях при хроническом пульмоните продолжительность жизни достигает 12 лет и более.
Пневмонит и пневмония: основные различия
От воспаления лёгких пневмонит отличается механизмом развития. В лёгких протекают иные морфологические изменения. Имеется разница и в обширности воспалительного процесса.
Отличие пневмонита от воспаления лёгких (пневмонии) чётко видно на рентгеновских снимках. В первом случае лёгочный рисунок усилен, наблюдаются затемнения в нижней части лёгких, во втором — очаги затемнения имеют неровные контуры в различных участках лёгких.
Разновидности пневмонита
Существует несколько видов пневмонита.
- Аспирационный — диагностируется при попадании содержимого желудка в дыхательные органы. Происходит воспаление в альвеолах.
- Постлучевой — возникает по причине локального поражения альвеол ионизирующим излучением.
- Гиперчувствительный — появляется из-за продолжительного ингаляционного контакта с токсическими веществами, грибком, бактериями.
- Интерстициальный — происходит воспаление дыхательных путей, нарушается проходимость бронхов, воспаление распространяется на существенную часть лёгких.
Симптомы
Важно не только знать, что такое пневмония и пневмонит, но и симптомы заболевания. Большое значение здесь имеют продолжительность воздействия провоцирующего фактора, особенности иммунной системы, причины развития заболевания. Вот основная симптоматика:
- цианоз;
- кашель с незначительной мокротой;
- лихорадка;
- боль в области груди;
- чрезмерное потоотделение;
- озноб;
- повышенная утомляемость;
- приступы асфиксии.
При острой форме симптоматика проявляется спустя двенадцать часов после влияния микроорганизма. Спустя время она ослабевает, а затем усиливается. При лучевой форме симптоматика возникает через две-четыре недели. Подострый пневмонит продолжается в течение нескольких недель или месяцев.
Хронический пневмонит продолжается более четырёх месяцев. Возникает он в случае неправильной терапии острой либо подострой формы. Пациент может столкнуться с симптомами хронического бронхита.
Диагностика
Своевременная диагностика гарантирует эффективную терапию. В первую очередь, доктор осматривает пациента, собирает анамнез, принимает во внимание жалобы. Чтобы подтвердить диагноз и обнаружить возбудителя, проводятся определённые исследования.
- Рентген. При усилении лёгочного рисунка или при обнаружении затемнения в нижней части лёгких диагноз подтверждается. Исследование проводится повторно через три-четыре недели.
- Изучение мокроты. Такое исследование позволяет выявить возбудителя. Определяется чувствительность микроба к различным антибиотикам.
- Анализ крови и мочи. О наличии болезни свидетельствует скорость оседания эритроцитов, лейкоцитоз, изменение лейкоцитарной формулы.
Пневмонит: терапия
Лечение пневмонии и пневмонита разнится. Невзирая на определённую схожесть симптоматики, терапия подбирается отдельно. Доктор учитывает персональные особенности организма пациента.
Лечение пневмонита проходит амбулаторно. Пневмония требует стационарных условий. Доктор должен пристально наблюдать за больным.
Цели терапии воспаления лёгких заключаются в следующем:
- купирование симптомов;
- эрадикация микроба, который вызвал заболевание;
- устранение инфильтративных изменений, произошедших в лёгком;
- нормализация лабораторных показателей;
- профилактика возможных осложнений.
Для устранения клеток-возбудителей назначают антибиотики. Также некоторым пациентам прописывают противогрибковые либо противовирусные микроорганизмы. Ещё могут быть назначены массаж грудной клетки, прогревание лёгких, дыхательная гимнастика, электрофорез рассасывающих средств, магнитотерапия.
Возможные осложнения
У взрослых после пневмонита и пневмонии могут наступить осложнения.
- Плеврит. Появляется кашель. Самочувствие значительно ухудшается.
- Миокардит. Работоспособность человека падает. Температура тела может незначительно повышаться. В верхней части сердца появляется давящая либо колющая боль. Отекают конечности, возникает одышка.
- Отёк лёгкого. Нарушается газообмен, сознание становится спутанным. Воздуха становится недостаточно. Кожные покровы обретают синюшный оттенок. Даже не двигаясь, пациент сталкивается с одышкой. Может возникнуть страх смерти.
- Абсцесс лёгких. Появляется сухой кашель, аппетит теряется, температура тела растёт, становится тяжело дышать.
- Перикардит. Возникает чувство сильной слабости. На вдохе ощущается сильная боль.
Внимание! В целях предупреждения негативных последствий к лечению заболевания нужно относиться серьёзно. Следует чётко соблюдать рекомендации доктора.
Осложнения пневмонии и пневмонита у маленьких пациентов проявляются непосредственно после заболевания. Ребёнок, который считается выздоровевшим, может плохо себя почувствовать. Чаще встречаются следующие патологии.
- Синдром Уотерхауза-Фридериксена. Возникают сильные боли в голове, быстро падает артериальное давление, температура тела растёт. Может наступить кома.
- Нейротоксикоз. Ребёнок становится чрезмерно активным, могут возникать истерики, или, наоборот, он становится чрезмерно вялым, проявляет ко всему безразличие. Может значительно повыситься температура тела.
- Лёгочная недостаточность. Возникает одышка, проблемы с дыханием, потемнение носогубного треугольника.
- Сепсис. Температура тела повышается, артериальное давление падает, возникают проблемы с сердечным ритмом. Может произойти потеря сознания.
Внимание! Для удачной терапии важно своевременно продиагностировать недуг.
Профилактика
Теперь вы знаете, чем отличается пневмония от пневмонита, однако этого недостаточно. Также следует ознакомиться с профилактическими мерами:
- регулярно укреплять иммунитет;
- проводить закаливание;
- вести активный образ жизни, заниматься спортом;
- полноценно питаться, регулярно употреблять овощи и фрукты;
- до ожидаемой вспышки заболеваемости делать прививку (рекомендована ВИЧ-инфицированным, беременным женщинам, детям и лицам старше 65 лет);
- часто проветривать помещения;
- регулярно делать влажную уборку;
- отказаться от вредных привычек (употребление спиртных напитков и курение);
- ежегодно посещать хороший санаторий.

