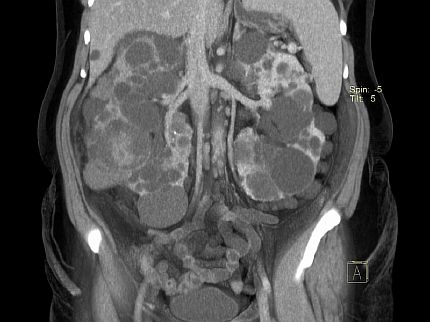
Поликистозное заболевание почек – генетическая болезнь, проявляющаяся в образовании и развитии большого количества кист, которые со временем атрофируют орган и делают его безжизненным.
Медикаментозное лечение следует начинать как можно раньше, так как это самая распространённая наследственная болезнь людей. Для точной диагностики заболевания, врач обязательно назначает тестирование крови и УЗИ диагностику далее …
Симптомы и причины болезни
Боли в области живота – первый признак поликистозного поражения почек. На этом этапе нужно проводить терапию, чтобы предотвратить ухудшение симптомов.
Растущие кистозные образования, наполненные жидкостью, приводят к увеличению размеров почек и их структурному изменению. Большие почки вызывают боли в спине и сбоку, может возникнуть кровотечение. Если киста разорвётся, больной испытывает нестерпимую боль. Иногда наблюдается моча с кровью. Поликистоз может привести к камням в почках, воспалительным процессам. Может появиться озноб, повысится температура тела. При запущенной болезни часто повышается артериальное давление.
Основной причиной поликистозных образований в почках является наследственная предрасположенность.
Поликистоз – это семейное заболевание. Поэтому, если кто-то из родителей страдает этим недугом, в период беременности нужно наблюдать болезнь. Также новорожденный ребёнок должен пройти обследование.
Врачи подчеркивают, что поликистоз почек — это серьезное заболевание, требующее комплексного подхода к лечению. Несмотря на популярность народных методов, таких как использование травяных настоев или диет, специалисты настоятельно рекомендуют не полагаться исключительно на них. Народные средства могут оказать лишь вспомогательное действие, но не способны заменить традиционную медицинскую терапию. Врачи акцентируют внимание на важности регулярного наблюдения и консультаций с нефрологом, так как заболевание может прогрессировать и привести к серьезным осложнениям. Поэтому, прежде чем прибегать к альтернативным методам, необходимо обсудить их с лечащим врачом.

Лечение
При поликистозном поражении почек важно правильно и своевременно назначить качественное медикаментозное лечение, чтобы уменьшить развитие почечной недостаточности и эффективно бороться с возможными осложнениями.
Гипертония, которая обычно сопутствует поликистозу почек, успешно лечится с помощью ингибиторов и блокаторов.
При поликистозе необходимо с осторожностью лечить инфекционные процессы. Врач должен тщательно подобрать наиболее качественные антибиотики, так как не все из них проходят в инфицированные кисты.
При прогрессировании почечной недостаточности оперативным способом делают трансплантацию почки или аппаратный диализ. В некоторых случаях терапии поликистоза, применяется хирургический дренаж кистозных образований.
Народные методы лечения
Лечение народными средствами данного заболевания можно проводить, как вспомогательную терапию с одобрения уролога. Только в этом случае комплексное лечение принесёт положительный результат.
Лечение поликистоза почек народными средствами помогает ослабить симптомы, тормозит и даже может остановить течение заболевания. Нужно помнить, что последнее время из-за недоверия к медикаментозному лечению многие люди полностью отказываются от традиционной медицины и предпочитают применять только народные рецепты. В случае с поликистозом — это недопустимо, нужно проводить лечение только под наблюдением врача!
Поликистоз почек — заболевание, которое вызывает много вопросов и беспокойства у пациентов. Многие люди, столкнувшись с этой проблемой, начинают искать альтернативные способы лечения, включая народные методы. В интернете можно встретить различные рецепты и советы, основанные на травах, таких как березовые листья, хвощ и шиповник. Некоторые утверждают, что регулярное употребление отваров из этих растений помогает снизить симптомы и улучшить общее состояние. Однако важно помнить, что такие методы не заменяют традиционную медицинскую помощь. Опыт других людей может быть полезен, но каждый случай индивидуален. Перед началом лечения народными средствами стоит проконсультироваться с врачом, чтобы избежать возможных осложнений и выбрать оптимальный подход к лечению.

Эхинацея
Настойка эхинацеи укрепляет иммунитет, и при терапии поликистоза почек она действует как иммуномодулятор. Принимать по десять капелек трижды в день готовую аптечную настойку. Курс лечения – шесть месяцев.
Грецкие орехи
Для повышения иммунитета и очистки крови, ликвидации воспалений в печени и почках нужно молодые грецкие орехи прокрутить в мясорубке, смешать 1:1 с мёдом и плотно закрыть. Поставить на месяц в тёмное место, по истечении срока принимать с настойкой эхинацеи по ложке чайной.

Чеснок при поликистозе
Прокрутить в мясорубке полкилограмма чеснока, залить пятьюстами миллилитрами холодной кипячёной воды, перемешать и убрать на месяц в тёмное место. По прошествии времени процедить настой, употреблять по ложке столовой трижды за сутки за двадцать минут до обеда. Настой можно употреблять с половиной стакана молока.
Травы
Самый популярный и простой рецепт терапии поликистоза: покрутить в мясорубке вымытые листья молодого лопуха. Отжать, получившийся сок подержать в холодильнике. Схема лечения: 1-2 день – по ложке чайной дважды за сутки, 3-4 день – по ложке чайной трижды за сутки, далее по ложке столовой трижды за сутки. Курс терапии – месяц. Повторить через тридцать дней отдыха.
Цветы коровяка способствуют рассасыванию кистовых образований в почках. Положить цветы коровяка в литровую стеклянную банку (до половины), доверху насыпать цветов календулы. Залить водкой. Пусть настаивается в тёмном месте две недели. Настойку принимать трижды за сутки за полчаса до обеда. С первого по пятый день употреблять по ложке чайной, затем по ложке столовой.
Смешать поровну чистотел, дурнишник обыкновенный, пастушью сумку. Потом четыре ложки столовые сбора залить литром воды, проварить после закипания пять минут на несильном огне. Пить по ложке столовой с интервалом два часа.
Взять ложку листьев чертополоха, залить стаканом кипятка. Дать постоять и пить четырежды за сутки.
Смешать поровну фиалку, пустырник, липовый цвет, череду, семена льна и листья брусники. Залить ложку столовую стаканом кипятка, заварить в термосе. Пусть настоится ночь, и употреблять по пятьдесят миллилитров трижды за сутки.
Смешать поровну пустырник, спорыш, зверобой, цветки календулы, шалфей, мяту, кожуру яблок и кору калины. Готовить по предыдущему рецепту.
Для сокращения кист смешать поровну: череду, фиалку, листья березы, цветки боярышника, плоды рябины, мяту, крапиву. Готовить по предыдущему рецепту.
Взять поровну и измельчить корни лопуха, цикория, солодки, одуванчика, ферулы. Залить кипятком и проварить двадцать минут на слабом огне. Пить на голодный желудок утром и вечером по сто пятьдесят миллилитров, в обед – двести миллилитров.
Питание
Следует иметь в виду, что, если обнаружен поликистоз почек, лечение народными средствами нужно начинать проводить как можно раньше и параллельно терапии необходимо питаться правильно.
- При повышении артериального давления следует потреблять меньше соли и отказаться от жирных блюд.
- Нужно есть больше клетчатки и нежирных молочных продуктов.
- Важно следить за употреблением жидкости, так как при поздней стадии болезни она задерживается в организме, и почки могут перегружаться.
Перед лечением нужно обязательно консультироваться со специалистом, так как могут быть обнаружены сопутствующие заболевания. А при терапии необходимо учитывать все индивидуальные особенности.
Вопрос-ответ
Можно ли вылечить поликистоз почек народными средствами?
На вопрос, лечится ли СПКЯ народными средствами, мой ответ: “Категорически нет! ” И если Вам даже рассказывали про “знакомую”, которая с помощью отвара Боровая матка (ортилия однобокая) вылечила поликистоз и забеременела — не верьте! Дело в том, что при СПКЯ самостоятельная спонтанная беременность возможна.
Как остановить поликистоз почек?
К сожалению, вылечить поликистоз почек невозможно, так как нельзя предотвратить развитие болезни при наличии генной мутации.
Как очистить почки от кист?
Пункционная аспирация жидкости, заполняющей полость кисты, лапароскопическое вскрытие кистозного мешка, Чрескожная пункция с удалением содержимого кисты и проведением склеротерапии.
Какое растение рассасывает кисты?
Бадан лист, бузина цвет, грушанка лист, дербеник трава, календула цвет, калина кора, красная щётка, кровохлёбка корень, ромашка цвет, сабельник корень, тысячелистник трава, чистотел трава, эхинацея трава.
Советы
СОВЕТ №1
Перед началом любого народного лечения обязательно проконсультируйтесь с врачом. Поликистоз почек — серьезное заболевание, и самолечение может усугубить ситуацию. Специалист поможет определить, какие методы могут быть безопасными и эффективными в вашем случае.
СОВЕТ №2
Используйте травяные настои и отвары с осторожностью. Некоторые растения, такие как крапива или березовые листья, могут поддерживать функцию почек, но важно следить за реакцией организма и не превышать рекомендуемые дозировки.
СОВЕТ №3
Обратите внимание на свой рацион. Употребление продуктов, богатых антиоксидантами, таких как ягоды, орехи и зелень, может помочь улучшить общее состояние организма. Избегайте соли и продуктов с высоким содержанием жиров, чтобы снизить нагрузку на почки.
СОВЕТ №4
Регулярно занимайтесь физической активностью. Умеренные физические нагрузки, такие как прогулки или йога, могут помочь улучшить кровообращение и общее состояние здоровья, что важно при поликистозе почек.





