Бронхоскопия при раке легкого заключается в визуальном исследовании трахеи и бронхов, включая устья сегментарных, с использованием бронхоскопов дистальной и боковой оптики, взятии биопсии и мазков для гистологического и цитологического подтверждения диагноза при центральном раке. Исследование может включать катетеризацию сегментарных и более мелких бронхов для получения мазков и аспиратов для тех же целей, периферической опухоли, а также чрезбронхиальную пункцию для выявления перибронхиального компонента опухоли и метастатического поражения основных групп лимфатических узлов (бифуркационных, трахеобронхиальных, прикорневых и бронхопульмональных). Для проведения более полной бронхоскопии при раке легкого необходим наркоз, хотя трахеобронхоскопия возможна и при местном обезболивании.
Таким образом, в результате бронхоскопии при раке легкого не только уточняется и подтверждается диагноз, но и устанавливается распространенность поражения и в связи с этим операбельность больного. Различают бронхоскопические признаки рака прямые, характеризующие эндобронхиальный рост опухоли (наличие роста опухоли в просвете бронха, инфильтрация его стенки с признаками экзофитного роста), и косвенные, связанные с перибронхиальным ростом и метастатическим поражением прикорневых и средостенных лимфатических узлов (ригидность стенок бронха, сдавление их извне).
Бронхоскопическими признаками неоперабельности опухоли являются деформация и уплощение карины трахеи, особенно при определении в пунктате бифуркационных лимфатических узлов клеточных элементов рака, переход опухолевой инфильтрации с бронха на стенку трахеи или область бифуркации.
Ранняя диагностика заболевания очень важна для излечения от рака. Однако у большинства пациентов болезнь обнаруживается только на 3 – 4 стадиях. В это время радикальная операция уже не проводится, а лечение приносит лишь временное облегчение симптомов.
Рак легкого можно заподозрить на флюорографии, а также при любом обращении к врачу. Если вероятность заболевания существует, назначаются дополнительные диагностические исследования. О них и пойдет речь в этой статье. Знания о том, что нужно сделать для диагностики, могут помочь больному быстрее понять, что же ему делать при появлении симптомов.
Предварительная диагностика
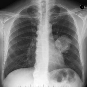
Проводится обзорная флюорография или рентгенография легких в двух проекциях – передней и боковой. Лучшее качество изображения получается при использовании цифровых аппаратов. Многое зависит и от установки пациента. Поэтому при выполнении снимков следует точно выполнять все рекомендации рентгенлаборанта. Это обеспечит более четкое изображение.
По данным рентгенографии определяют локализацию опухоли в доле и/или сегменте легкого.
В начале роста опухоли она лишь незначительно сужает его просвет. Поэтому на снимке определяется либо норма, либо снижение прозрачности ткани сегмента, усиление в нем легочного рисунка.
При дальнейшем сужении бронха опухоль вызывает образование эмфиземы (вздутия) легкого в соответствующем сегменте. Это проявляется повышенной воздушностью легочной ткани и обеднением легочного рисунка.
Когда бронх полностью перекрывается, вентилируемый им участок легкого спадается. Возникает ателектаз. На рентгенограмме он выглядит как интенсивная треугольная тень. При поражении доли или всего легкого определяется тень большого размера.
Томография
На втором этапе диагностики назначается компьютерная томография. Если такого оборудования в наличии нет, проводится линейная томография подозрительного участка. При эндобронхиальном варианте врач находит образование, перекрывающее просвет дыхательных путей. Если новообразование растет возле бронха, то виден узел опухоли в сочетании с сужением бронхиального просвета. При размере опухоли менее 1,5 см при диагностике ее очень трудно отличить от лимфоузла.
При дальнейшем росте опухоли становятся видны и пораженные внутригрудные лимфоузлы. Для их визуализации применяется компьютерная, а не линейная томография.
Бронхоскопия
Вначале проводят цитологическое исследование мокроты. Ее нужно собрать утром, до приема пищи и воды, тщательно прополоскав полость рта. Для точной диагностики требуется не менее 4 анализов. Материал должен быть сразу направлен в лабораторию. При соблюдении этих условий рак на ранней стадии можно обнаружить у 40 – 70% больных.
- рентгенологическая картина центрального рака;
- обнаружение в мокроте раковых клеток или сомнительный результат этого исследования;
- кровохарканье, надсадный кашель;
- отсутствие эффекта от лечения пневмонии или обострения бронхита в течение 3 недель.
При осмотре слизистой оболочки бронхов можно увидеть саму опухоль, неподвижность бронха, изменения его слизистой оболочки, кровоточивость и другие патологические признаки.
Во время бронхоскопии обязательно выполняется биопсия. Существует 3 метода такой диагностики:
- исследование промывных вод (малоэффективный метод, должен использоваться лишь как дополнение к другим видам биопсии);
- браш-биопсия – мазок с помощью капроновой щеточки (должен выполняться при невозможности щипцевой биопсии или вместе с ней); мазок наносится на предметное стекло, в нем ищут атипичные клетки путем цитологического исследования;
- наиболее эффективна щипцевая биопсия – взятие кусочка опухоли специальными щипцами; материал отправляют на цитологическое и гистологическое исследование.
Дополнительная диагностика
На этом этапе врач проводит дифференциальную диагностику рака с другими заболеваниями, окончательно подтверждает диагноз и формулирует последующую лечебную тактику. Для этого могут использоваться более сложные методы исследования.
Пункционная биопсия проводится путем прокола грудной клетки в условиях рентгенкабинета под местным обезболиванием. Под контролем рентгенографии иглу проводят к опухоли, берут образец ткани и направляют его для исследования в лабораторию для поиска раковых клеток.
Бронхография выполняется для исключения бронхоэктазов и хронического бронхита. Считается, что обнаружение признаков этих болезней исключает центральный рак.
Торакоскопия проводится только в стационаре. Это осмотр с помощью эндоскопа внутренней поверхности плевральной полости. Она необходима для диагностики канцероматоза плевры, туберкулеза, множественных метастазов. Во время процедуры берется биопсия.
Медиастиноскопия – травматичный и довольно опасный метод, проводится только в стационаре. Он используется для взятия на анализ лимфоузлов средостения, чтобы убедиться в наличии или отсутствии в них метастазов.
Плевральная пункция назначается при наличии жидкости в полости плевры. После эвакуации такой жидкости в ней проводят поиск злокачественных клеток.
Если после выполнения всех диагностических исследований у врачей все же остаются сомнения в диагнозе, выполняется диагностическая торакотомия. Это операция, которая заключается во вскрытии грудной полости, осмотре пораженных тканей, взятии биопсии, оценке лимфоузлов. Это окончательный этап диагностики.
Дифференциальная диагностика
Рак легких может иметь схожие признаки с другими заболеваниями:
- туберкулез;
- пневмония;
- плеврит;
- эмпиема плевры;
- абсцессы и бронхоэктазы;
- поликистоз;
- инородное тело бронха;
- опухоли бронхов и средостения;
- лимфома;
- саркоидоз;
- аневризма аорты и другие.
Периферический рак легких нужно дифференцировать с многочисленными разновидностями новообразований грудной клетки (саркома, невринома и другие), эхинококкозом, метастазами из других органов (рак молочной железы, простаты, опухоли органов пищеварения, надпочечников, яичек, меланомы, саркомы).
Лишь после выполнения всех диагностических этапов можно точно установить диагноз рака легких, его расположение и стадию. Это необходимо для правильного выбора лечебной тактики.
В последнее время, по статистическим данным, в мире резко увеличилось число людей, заболевших раком. И Россия не является исключением. Исследования в области онкологии говорят, о том, что развитие злокачественной опухоли в первую очередь провоцируют факторы внешней среды.
Ученые исследовали разновидности проявления раковых опухолей и доказали, что только 10 – 30% из раковых изменений вызваны наследственностью, а оставшиеся 70 – 90% изменений связаны с воздействием вредных условий среды. Данное исследование важно в плане профилактики онкологических заболеваний.
Цель профилактики рака заключается в том, чтобы злокачественных опухолей было как можно меньше. На частоту возникновения рака лёгких, помимо неправильного питания и факторов внешней среды, очень сильно влияет курение. Рак лёгких чаще встречается среди курильщиков. Оказывается, рак легких может возникать даже у пассивных курильщиков.
Также частоту возникновения злокачественных опухолей увеличивает употребление алкогольных напитков, малоподвижный образ жизни и, как следствие, избыточный вес, а также облучение. В развитии онкологии значимую роль играют и вирусы (вирус гепатита B или вирус папилломы человека).
История возникновения болезни
Гиппократ считал, что рак нужно лечить хирургически, после операции обрабатывая раны мазями с растительными ядами или мышьяком, которые должны были уничтожать оставшиеся клетки опухоли. Внутренние опухоли, считал Гиппократ, лечить не стоит, так как полагал, что от последствий такого сложного вмешательства пациент погибнет быстрее, чем от самой опухоли.
С какой целью проводят бронхоскопию легких?
При диагностике онкологической патологии, в диагностике нагноительных процессов и при извлечении инородных частиц из дыхательных путей производится бронхоскопия легких. Данный метод очень информативен, так как врач получает не просто какие-либо анализы, а точную картину дыхательных путей пациента.
Бронхоскопия легких – метод диагностики слизистых трахеи и бронхов с помощью специального прибора, имеющего осветительное оборудование и видеокамеру. Эта трубка вводится в просвет трахеи через гортань и достигает разветвлений бронхов. Изображение дыхательных путей выводится на экран монитора.
При проведении процедуры важно знать строение дыхательных путей (так называемого бронхиального дерева). Так как точность этого исследования составляет почти сто процентов, он играет важную роль при диагностике различных заболеваний дыхательных путей: бронхитах, пневмониях, раке легких. Помимо диагностики, бронхоскоп часто используется в лечении, поэтому его дополняют хирургическими инструментами, щипцами для забора ткани на гистологическое исследование, лазерным оборудованием.
Сравним два вида бронхоскопий:
| Виртуальная бронхоскопия | Эндоскопическая бронхоскопия |
| Благодаря высокой информативности, возможно увидеть даже самые маленькие бронхи (при диаметре 1-2 мм и более), что позволяет определить источник патологического процесса | Менее информативен, невозможно исследовать мелкие бронхи. Пораженный бронх также точно определить не удается |
| Невозможно взять материал на исследование. | Можно взять ткань на биопсию. |
| Нет лечебного эффекта | Помимо диагностики, проводятся хирургические манипуляции, вводятся лекарства, при наличии удаляются чужеродные тела и так далее. |
| Не травмирующий рентгенологический метод, используются низкие дозы облучения, процедура проводится быстро и не угрожает здоровью пациента. | Имеет противопоказания и возможны осложнения, так как при этом обследовании происходит проникновение вглубь органа. Требуется обезболивание. |
| Не нужно специальной подготовки, не нужна и анестезия, кроме случаев с психиатрическими больными, при повышенной возбудимости пациента и проведении процедуры у детей. Не вводятся контрастирующие вещества. | Необходима специальная подготовка, также проводится местная или общая анестезия. |
| Безболезненная процедура, можно проводить исследование даже тяжелым больным. | Малоприятная манипуляция. |
| По времени процедура занимает три минуты, обработка результатов – до получаса. | По времени занимает от получаса до часа. |
| Цена колеблется в пределах 6000 рублей. | Цена колеблется в пределах 3000 рублей |
Компьютерная бронхоскопия чаще применяется при диагностике рака, а именно с целью контроля роста опухолей в бронхах. Виртуальная бронхоскопия не заменяет эндоскопическую. К тому же, не проводят виртуальное исследование, если показаны хирургические манипуляции на бронхах.
Бронхоскопия при раке легких
Комплексное обследование при подозрении на онкологическое заболевание легких включает в себя бронхоскопию, во время которой необходим забор материала для гистологического исследования. Благодаря биопсии можно подтвердить диагноз заболевания и определить стадию рака. Таким образом, бронхоскопия и биопсия легких при раке играют большую роль в постановке диагноза.
Исследование при раке легких может включать введение катетеров в мелкие бронхи для взятия материала. Эта процедура проводится при периферическом расположении опухолей. При исследовании проводят прокол стенки бронхов и берут мазок из лимфоузлов. Эта манипуляция называется катетеризацией, проводится под общим наркозом чаще для диагностики периферического рака. Для проведения более подробного исследования при раке легкого необходим общий наркоз.
Таким образом, бронхоскопия при раке легкого проводится не только с целью уточнения и подтверждения диагноза, но и для того, чтобы установить распространенность и операбельность поражения. Различают прямые признаки рака, характеризующие рост опухоли в просвете бронха, проникновение его с признаками роста опухоли в полость органа, и косвенные, связанные с наружным ростом и поражением лимфатических узлов (неэластичность стенок бронха, их сдавливание).
Опухоль не оперируется, если имеются деформация и уплощение части трахеи, особенно если при взятии пункции определяются клеточные элементы рака, переход опухоли с бронха на стенку трахеи.
Рак горла и гортани
Гортань не является исключением возникновения опухоли, так как рак может проявляться в разных местах организма. Поэтому очень важно на начальном этапе развития болезни быть информированным о первых симптомах рака горла, чтобы обезопасить себя и близких.
Статистка говорит от том , что около 70 % всех опухолей признаются злокачественными, в том числе и рак горла, который, как правило, часто встречается среди курильщиков.
Рак гортани обнаруживается при непрямой ларингоскопии (это обычный осмотр врача-отоларинголога с помощью специального зеркала) с последующим забором материала слизистой на гистологическое исследование. Более точно диагноз определяется с помощью фиброларингоскопии (осмотр гибким эндоскопом) и прямой микроларингоскопии (изучение стенок гортани с помощью микроскопа).
Главный фактор риска рака гортани – длительное курение, поэтому рак гортани чаще встречается у мужчин.
Рак голосовых связок легче поддается лечению, чем рак вестибулярного отдела гортани, так как даже при небольших размерах опухоли проявляется охриплостью и в связи с этим диагностируется раньше, чем другие формы рака. Первые симптомы вестибулярного рака гортани обычно возникают поздно, уже на стадиях роста опухоли, и проявляются тяжелым дыханием (чаще на вдохе), кровохарканьем, дискомфортом при глотании, покашливанием. Также наиболее важным проявлением злокачественных опухолей является быстрая потеря веса.
Некоторые разновидности рака являются плохо излечимыми, что приводит к смерти больного. Исход лечения зависит от степени развития опухоли, так называемой стадии. На ранних стадиях болезнь легче победить, поэтому необходимо следить за своим здоровьем, пользуясь услугами специалистов. Нежелательно при этом тратить время на самолечение, игнорируя современные методы.

